Huang Yongpan, Long Xian, Li Xinliang, Li Saihua, He Jianbin
Medicine School, Changsha Social Work College, Changsha, Hunan, China.
Institute of Chinese Meteria Medica, Hunan Academy of Chinese Medicine, Changsha, China.
Evid Based Complement Alternat Med. 2020 Nov 26;2020:8836904. doi: 10.1155/2020/8836904. eCollection 2020.
Oxymatrine (OMT) is the primary pharmacological component of Aiton., which has been shown to possess potent antifibrotic, antioxidant, and anti-inflammatory activities. The aim of the present study was to clarify the protective mechanism of OMT on acute lung injury (ALI) subjected to myocardial ischemia/reperfusion (I/R).
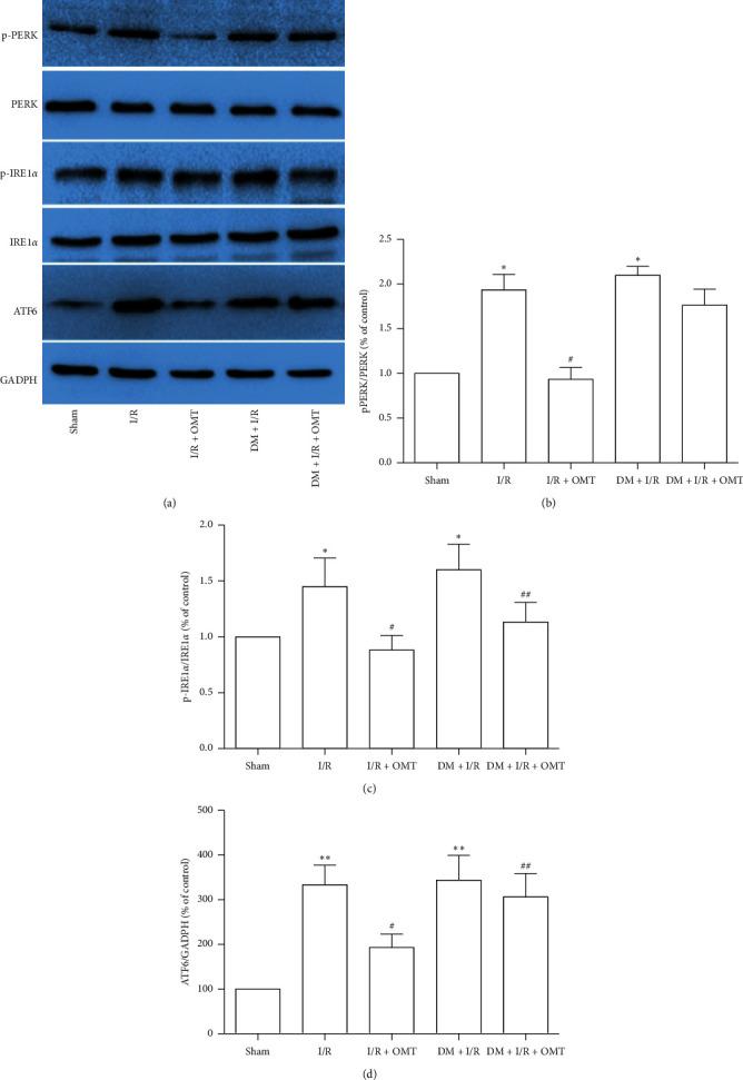
A myocardial I/R-induced ALI model was achieved in diabetic rats by occluding the left anterior descending coronary artery for 1 h, followed by reperfusion for 1 h. The levels of inflammatory factors (tumor necrosis factor-, interleukin- (IL-) 6, and IL-17) in bronchoalveolar lavage fluid were assessed using commercially available kits. The index of myocardial injury, including the detection of cardiac troponin I (cTnI), cardiac troponin T (cTnT), lactate dehydrogenase (LDH), and creatine kinase-MB (CK-MB), was also determined using commercially available kits. Hematoxylin and eosin staining and terminal deoxynucleotidyl transferase-mediated dUTP nick end labeling were used to identify histological changes. The expression levels of endoplasmic reticulum chaperone BiP (GRP78), DNA damage-inducible transcript 3 protein (CHOP), eukaryotic translation initiation factor 2-alpha kinase 3 (PERK), inositol dependent enzyme 1 (IRE1), ATF6, caspase-3, -9, and-12, Bcl-2, and Bax were determined by Western blotting. The mRNA expression levels of GRP78 and CHOP were detected by reverse transcription-quantitative PCR.
Myocardial I/R increased the levels of cTnI, cTnT, LDH, and CK-MB in diabetic rats. Damaged and irregularly arranged myocardial cells were also observed, as well as more serious ALI with higher lung injury scores and WET/DRY ratios and lower PaO. Moreover, the expression of key proteins of endoplasmic reticulum stress (ERS) was increased by I/R injury, including phosphorylated- (p-) PERK, p-IRE1ɑ, and ATF6, as well as decreased levels of apoptosis. These effects were all significantly reversed by OMT treatment.
OMT protects against ALI subjected to myocardial I/R by inhibiting ERS in diabetic rats.
氧化苦参碱(OMT)是苦参(Aiton.)的主要药理成分,已被证明具有强大的抗纤维化、抗氧化和抗炎活性。本研究的目的是阐明氧化苦参碱对心肌缺血/再灌注(I/R)所致急性肺损伤(ALI)的保护机制。
通过结扎糖尿病大鼠左冠状动脉前降支1小时,随后再灌注1小时,建立心肌I/R诱导的ALI模型。使用市售试剂盒评估支气管肺泡灌洗液中炎症因子(肿瘤坏死因子-α、白细胞介素-(IL-)6和IL-17)的水平。还使用市售试剂盒测定心肌损伤指标,包括心肌肌钙蛋白I(cTnI)、心肌肌钙蛋白T(cTnT)、乳酸脱氢酶(LDH)和肌酸激酶同工酶MB(CK-MB)的检测。苏木精-伊红染色和末端脱氧核苷酸转移酶介导的dUTP缺口末端标记用于识别组织学变化。通过蛋白质免疫印迹法测定内质网伴侣BiP(GRP78)、DNA损伤诱导转录3蛋白(CHOP)、真核翻译起始因子2-α激酶3(PERK)、肌醇依赖性酶1(IRE1)、ATF6、半胱天冬酶-3、-9和-12、Bcl-2和Bax的表达水平。通过逆转录-定量PCR检测GRP78和CHOP的mRNA表达水平。
心肌I/R增加了糖尿病大鼠cTnI、cTnT、LDH和CK-MB的水平。还观察到心肌细胞受损且排列不规则,以及更严重的ALI,肺损伤评分和湿/干比更高,而动脉血氧分压(PaO)更低。此外,I/R损伤增加了内质网应激(ERS)关键蛋白的表达,包括磷酸化-(p-)PERK、p-IRE1α和ATF6,同时凋亡水平降低。氧化苦参碱治疗可显著逆转这些效应。
氧化苦参碱通过抑制糖尿病大鼠的内质网应激来保护其免受心肌I/R所致的ALI。