Suppr超能文献

结节性筋膜炎在直肠癌机器人手术的切口部位生长。

Nodular fasciitis growing at the port site of robotic surgery for rectal cancer.

作者信息

Yamamoto Atsushi, Furuya Shinji, Takiguchi Koichi, Sudo Makoto, Shoda Katsutoshi, Akaike Hidenori, Hosomura Naohiro, Kawaguchi Yoshihiko, Amemiya Hidetake, Kawaida Hiromichi, Kono Hiroshi, Ichikawa Daisuke

机构信息

First Department of Surgery, Faculty of Medicine, University of Yamanashi, 1110 Shimokato, Chuo, Yamanashi, 409-3898, Japan.

出版信息

Surg Case Rep. 2020 Dec 9;6(1):315. doi: 10.1186/s40792-020-01049-8.

Abstract

BACKGROUND

Nodular fasciitis (NF) is a type of rare and rapidly growing tumor that affects the muscular fascial layers. Due to its locally aggressive nature and rapid growth, NF can be mistaken as a malignant process on either clinical or histological grounds.

CASE PRESENTATION

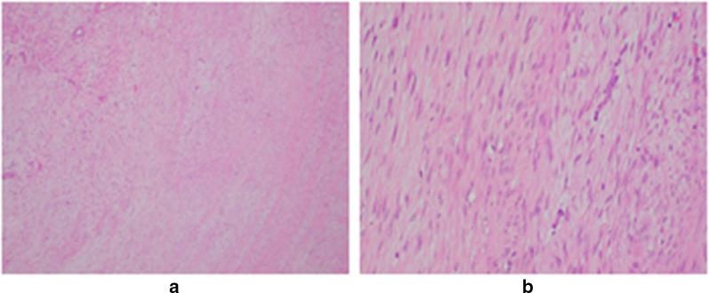
A 61-year-old man was affected by rectal cancer. We performed a robotic, high-anterior resection with lymph node dissection. According to the 8th edition of Union for International Cancer Control, the diagnosis was stage I pT2N0M0. During a routine follow-up 1.5 years after the robotic surgery, a computed tomography examination revealed a tumor in the upper right abdominal wall, at the site of the surgical port, that measured 45 mm. Magnetic resonance imaging indicated a hypo-intensive mass within the right straight muscle of the abdomen. Port site recurrence following the robotic surgery for rectal cancer was suspected, and an ultrasound-guided fine-needle aspiration was performed; it revealed a low-grade myofibroblastic tumor or benign neoplasm, but was inconclusive. We performed an excision of the lesion, and histopathology confirmed NF, seen as a solid, nodular, spindle-cell lesion. The patient was postoperatively followed for more than 1 year without any sign of recurrence of either cancer or NF.

CONCLUSIONS

NF is histologically benign, but local recurrence frequently occurs. We encountered a patient with NF at the port site after robotic surgery for rectal cancer.

摘要

背景

结节性筋膜炎(NF)是一种罕见且生长迅速的肿瘤,累及肌筋膜层。由于其局部侵袭性和快速生长的特性,NF在临床或组织学上都可能被误诊为恶性病变。

病例报告

一名61岁男性患有直肠癌。我们进行了机器人辅助的高位前切除术及淋巴结清扫术。根据国际癌症控制联盟第8版标准,诊断为I期pT2N0M0。在机器人手术后1.5年的常规随访中,计算机断层扫描检查发现右上腹壁手术切口部位有一个45毫米的肿瘤。磁共振成像显示腹直肌右侧有一个低强化肿块。怀疑是直肠癌机器人手术后的手术切口部位复发,遂进行了超声引导下细针穿刺活检;结果显示为低度肌成纤维细胞瘤或良性肿瘤,但诊断不明确。我们对病变进行了切除,组织病理学证实为NF,表现为实性、结节状、梭形细胞病变。患者术后随访1年多,未出现癌症或NF复发的迹象。

结论

NF在组织学上是良性的,但常发生局部复发。我们遇到了一名直肠癌机器人手术后手术切口部位出现NF的患者。

https://cdn.ncbi.nlm.nih.gov/pmc/blobs/0e28/7726077/82d3970766d1/40792_2020_1049_Fig1_HTML.jpg

文献AI研究员

20分钟写一篇综述,助力文献阅读效率提升50倍。

立即体验

用中文搜PubMed

大模型驱动的PubMed中文搜索引擎

马上搜索

文档翻译

学术文献翻译模型,支持多种主流文档格式。

立即体验