Suppr超能文献

特发性下颌髁突吸收

Idiopathic Mandibular Condyle Resorption.

作者信息

Zarour Christopher C, Robinson Ciji, Mian Arooj, Al-Hameed Mohammed, Vempala Michael

机构信息

Radiology, St. Joseph Mercy Hospital, Pontiac, USA.

Radiology, Ross University School of Medicine, Bridgetown, BRB.

出版信息

Cureus. 2020 Nov 6;12(11):e11365. doi: 10.7759/cureus.11365.

Abstract

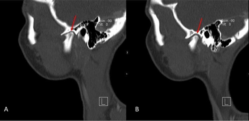
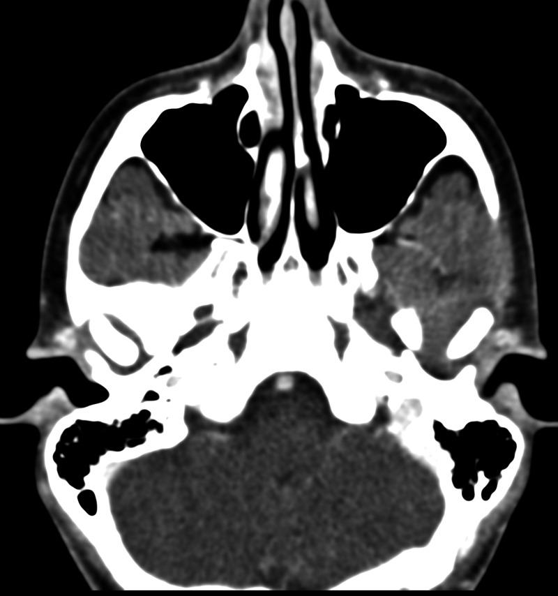
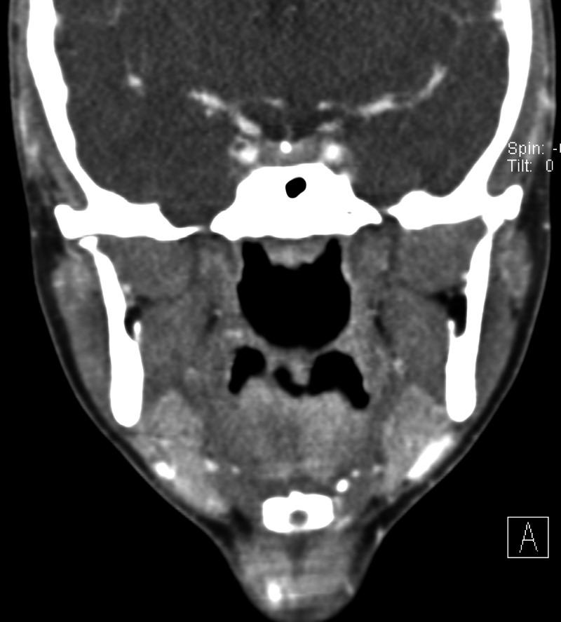
Idiopathic mandibular condylar resorption is a rare condition in which the mandibular condyle of the temporomandibular joint (TMJ) becomes resorbed and thus reduces in size and volume. This leads to TMJ dysfunction that commonly requires surgical correction; however, more conservative interventions can also be utilized. We present a case of idiopathic mandibular condyle resorption in a 17-year-old female presenting with TMJ pain and clicking with mastication. A definitive diagnosis of this condition ultimately requires imaging studies, a reliable option being magnetic resonance imaging (MRI), which will reveal erosion of the mandibular condylar process (often bilaterally) with diminished mass and volume leading to the known sequelae of symptoms.

摘要

特发性下颌髁突吸收是一种罕见的病症,其中颞下颌关节(TMJ)的下颌髁突会被吸收,从而尺寸和体积减小。这会导致颞下颌关节功能障碍,通常需要手术矫正;然而,也可以采用更保守的干预措施。我们报告一例17岁女性特发性下颌髁突吸收病例,该患者表现为颞下颌关节疼痛以及咀嚼时弹响。对这种病症的明确诊断最终需要影像学检查,可靠的选择是磁共振成像(MRI),它将显示下颌髁突的侵蚀(通常为双侧),伴有质量和体积减小,进而导致已知的一系列症状。

https://cdn.ncbi.nlm.nih.gov/pmc/blobs/e6c4/7721076/85a9f8600f8f/cureus-0012-00000011365-i01.jpg

文献AI研究员

20分钟写一篇综述,助力文献阅读效率提升50倍。

立即体验

用中文搜PubMed

大模型驱动的PubMed中文搜索引擎

马上搜索

文档翻译

学术文献翻译模型,支持多种主流文档格式。

立即体验