Ooi Cheow Peng, Mustafa Norlaila, Kew Thean Yean
Endocrinology Unit, Department of Medicine, Universiti Putra Malaysia.
Endocrinology Unit, Department of Medicine, Pusat Perubatan Universiti Kebangsaan Malaysia.
J ASEAN Fed Endocr Soc. 2018;33(1):49-52. doi: 10.15605/jafes.033.01.08. Epub 2018 Apr 20.
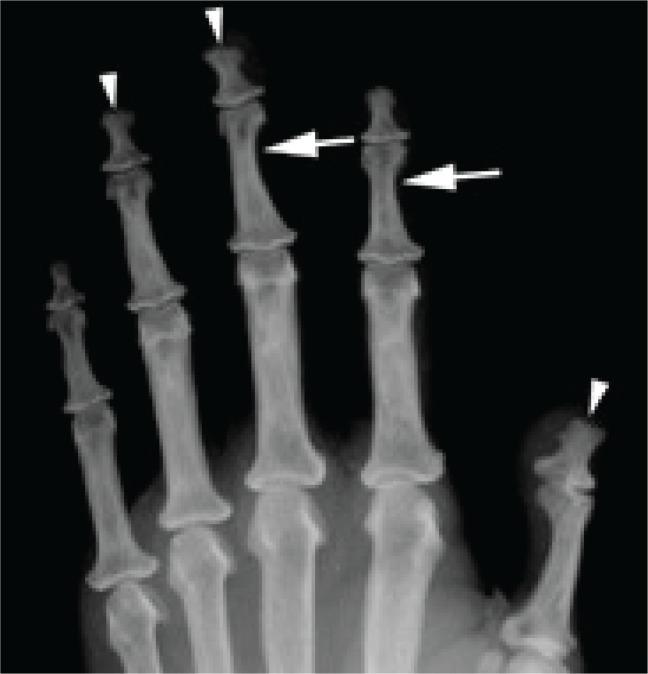
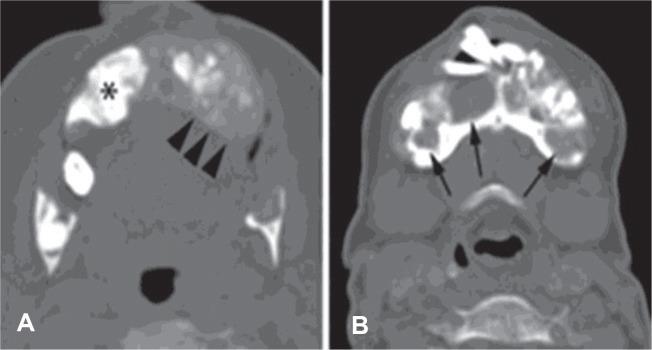
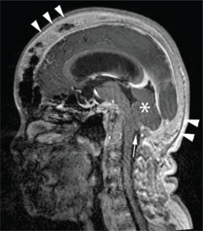
We present the rare case of a 47-year-old woman with protracted primary hyperparathyroidism complicated by communicating hydrocephalus and cerebellar tonsillar herniation secondary to calvarial thickening. The parathyroid glands remained elusive, despite the use of advanced preoperative imaging modalities and three neck explorations. The serum calcium was optimally controlled with cinacalcet and alfacalcidol. Awareness of this rare complication is essential for early diagnosis and prompt intervention to prevent fatal posterior brain herniation.
我们报告了一例罕见病例,一名47岁女性患有迁延性原发性甲状旁腺功能亢进症,并发交通性脑积水和因颅骨增厚继发的小脑扁桃体疝。尽管使用了先进的术前成像方式并进行了三次颈部探查,但甲状旁腺仍难以找到。使用西那卡塞和阿法骨化醇可使血清钙得到最佳控制。认识到这种罕见并发症对于早期诊断和及时干预以预防致命的后脑疝至关重要。