Suppr超能文献

新型冠状病毒肺炎相关的新发肉芽肿性多血管炎

New Onset Granulomatosis with Polyangiitis Associated with COVID-19.

作者信息

Bressler Moshe Y, Pathak Naeha, Cervellione Kelly, Bagheri Farshad, Epstein Edward, Mir Adnan, Tamez Rebecca

机构信息

New York Institute of Technology College of Osteopathic Medicine, Old Westbury, NY, USA.

Jamaica Hospital, Department of Internal Medicine, Dermatology, New York, NY, USA.

出版信息

Case Rep Dermatol Med. 2021 Jan 13;2021:8877292. doi: 10.1155/2021/8877292. eCollection 2021.

Abstract

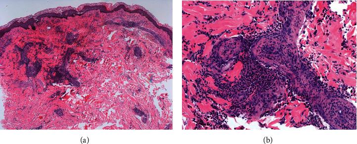
The coronavirus disease 2019 (COVID-19) has recently been found to cause cutaneous vasculitis in patients. Granulomatosis with polyangiitis (GPA) is a type of small and medium vessel vasculitis that is often associated with pulmonary issues and has been shown to raise diagnostic complications in COVID-19 infection. In this report, we discuss the first case of new-onset GPA in the setting of active COVID-19 infection. Symptoms often overlap between the two diseases, and while there is no current cure for COVID-19, rapid immunosuppressive initiation can be lifesaving for patients with GPA. Thus, this case is essential in expanding our current knowledge of COVID-19 and its many skin manifestations.

摘要

最近发现2019冠状病毒病(COVID-19)可导致患者出现皮肤血管炎。肉芽肿性多血管炎(GPA)是一种中小血管血管炎,常与肺部问题相关,并且已证明在COVID-19感染中会增加诊断复杂性。在本报告中,我们讨论了在活动性COVID-19感染背景下首例新发GPA病例。这两种疾病的症状常常重叠,虽然目前尚无治疗COVID-19的方法,但对于GPA患者,迅速开始免疫抑制治疗可挽救生命。因此,该病例对于扩展我们目前对COVID-19及其多种皮肤表现的认识至关重要。

https://cdn.ncbi.nlm.nih.gov/pmc/blobs/8536/7811565/478b3df45584/CRIDM2021-8877292.001.jpg

文献AI研究员

20分钟写一篇综述,助力文献阅读效率提升50倍。

立即体验

用中文搜PubMed

大模型驱动的PubMed中文搜索引擎

马上搜索

文档翻译

学术文献翻译模型,支持多种主流文档格式。

立即体验