Xiao Benxi, Ma Wenjun, Zheng Ying, Li Zhen, Li Dan, Zhang Yanjun, Li Yuanhong, Wang Duan
Department of Nutrition, Guangdong Provincial People's Hospital, Guangdong Academy of Medical Sciences, Guangzhou 510080, China.
Department of Nutrition, School of Public Health in Sun Yat-sen University, Guangzhou 510080, China.
Nutr Res Pract. 2021 Feb;15(1):26-37. doi: 10.4162/nrp.2021.15.1.26. Epub 2020 Aug 12.
BACKGROUND/OBJECTIVES: Hyperuricemic nephropathy is a common cause of acute kidney injury. Resveratrol can ameliorate kidney injury, but the explicit mechanism remains unclear. We investigated the effects of resveratrol on the inflammatory response and renal injury in hyperuricemic rats.
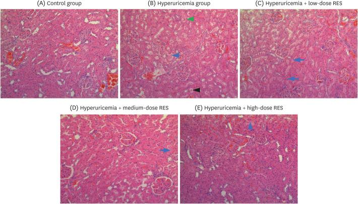
MATERIALS/METHODS: A rat model of hyperuricemic nephropathy was established by the oral administration of a mixture of adenine and potassium oxinate. Biochemical analysis and hematoxylin and eosin staining were performed to assess the rat kidney function. Enzyme-linked immunosorbent assays were performed to evaluate the immune and oxidative responses.
The expression levels of urine albumin and β2-microglobulin were significantly decreased after resveratrol treatment. In addition, the levels of serum creatinine and uric acid were significantly decreased in the resveratrol groups, compared with the control group. The levels of proinflammatory factors, such as interleukin-1β and tumor necrosis factor-α, in kidney tissue and serum were also increased in the hyperuricemic rats, and resveratrol treatment inhibited their expression. Moreover, the total antioxidant capacity in kidney tissue as well as the superoxide dismutase and xanthine oxidase levels in serum were all decreased by resveratrol treatment.
Resveratrol may protect against hyperuricemic nephropathy through regulating the inflammatory response.
背景/目的:高尿酸血症肾病是急性肾损伤的常见原因。白藜芦醇可改善肾损伤,但其确切机制尚不清楚。我们研究了白藜芦醇对高尿酸血症大鼠炎症反应和肾损伤的影响。
材料/方法:通过口服腺嘌呤和氧嗪酸钾混合物建立高尿酸血症肾病大鼠模型。进行生化分析和苏木精-伊红染色以评估大鼠肾功能。采用酶联免疫吸附测定法评估免疫和氧化反应。
白藜芦醇治疗后尿白蛋白和β2-微球蛋白的表达水平显著降低。此外,与对照组相比,白藜芦醇组血清肌酐和尿酸水平显著降低。高尿酸血症大鼠肾组织和血清中促炎因子如白细胞介素-1β和肿瘤坏死因子-α的水平也升高,而白藜芦醇治疗可抑制它们的表达。此外,白藜芦醇治疗降低了肾组织中的总抗氧化能力以及血清中的超氧化物歧化酶和黄嘌呤氧化酶水平。
白藜芦醇可能通过调节炎症反应预防高尿酸血症肾病。