Suppr超能文献

Total Elbow Arthroplasty in an Older Patient with a Forearm Amputation: A Case Report in a Spastic Elbow.

作者信息

Gerosa Thibault, Pierrart Jérôme, Lafosse Thibault, Masmejean Emmanuel H

机构信息

Department of Hand, Upper Limb and Peripheral Nerve Surgery, European Hospital Georges-Pompidou, University of Paris, 20 rue Leblanc, 75015 PARIS, France.

Cabinet Archimed, Clinique des Deux Caps 80 Avenue des Longues Pièces, 62231 Coquelles, France.

出版信息

J Orthop Case Rep. 2020 Oct;10(7):30-33. doi: 10.13107/jocr.2020.v10.i07.1906.

Abstract

INTRODUCTION

Total elbow arthroplasty is a common procedure in older patients after comminuted distal humerus fractures. However, in patients with a forearm amputation, this treatment indication is less obvious.

CASE REPORT

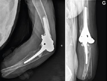
We report the case of an older spastic patient with bilateral forearm amputation for whom we performed a total elbow arthroplasty for a complex left distal humerus fracture. At 1 year follow-up, our patient was satisfied with the outcome as she had recovered her previous range motion and autonomy. There was no sign of implant loosening or migration on radiographs.

CONCLUSIONS

Given that this treatment has the same benefits as in the typical target population and that any complications that may occur could be less devastating in a patient with forearm amputation. We think that elbow arthroplasty should be offered, in case of complex articular fracture, to all older patients with forearm amputation who has functional demands.

摘要
https://cdn.ncbi.nlm.nih.gov/pmc/blobs/3d21/7857651/d2a27a282901/JOCR-10-30-g001.jpg

文献AI研究员

20分钟写一篇综述,助力文献阅读效率提升50倍。

立即体验

用中文搜PubMed

大模型驱动的PubMed中文搜索引擎

马上搜索

文档翻译

学术文献翻译模型,支持多种主流文档格式。

立即体验