Suppr超能文献

CCR4 阳性外周 T 细胞淋巴瘤表现为嗜酸性肺炎,并由迁延性脓疱性银屑病发展而来。

CCR4-positive peripheral T-cell lymphoma presenting as eosinophilic pneumonia and developing from prolonged pustular psoriasis.

机构信息

Department of Comprehensive Cancer Therapy, Shinshu University School of Medicine, Matsumoto, Japan.

Second Department of Internal Medicine, Division of Hematology, Shinshu University School of Medicine, Matsumoto, Japan.

出版信息

J Int Med Res. 2021 Feb;49(2):300060521996165. doi: 10.1177/0300060521996165.

Abstract

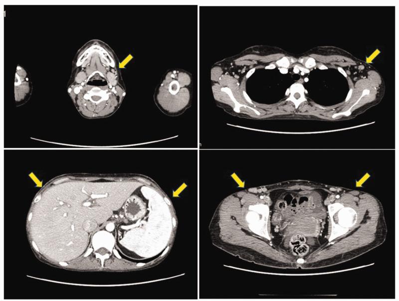
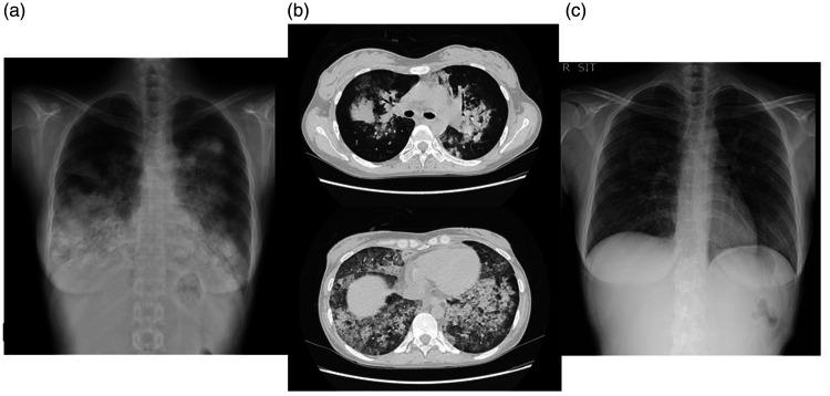
A 29-year-old woman with chronic, prolonged pustular psoriasis was admitted to our hospital because of high-grade fever and a systemic skin rash. General examination revealed a whole-body skin rash and superficial lymphadenopathy. Peripheral blood examination showed unclassified cells positive for CD3, CD4, and T-cell receptor αβ, and negative for CD20 and CD56. Soon after administration, she developed acute respiratory failure and required artificial ventilation. Bronchoalveolar lavage fluid showed increased numbers of eosinophils and abnormal lymphocytes of the same phenotype in peripheral blood and skin. She was diagnosed with eosinophilic pneumonia, and her respiratory failure was improved by corticosteroid therapy. Based on the histological findings of skin, lymph node, and bone marrow biopsies, a diagnosis of peripheral T-cell lymphoma not otherwise specified (PTCL-NOS), with positivity for CC chemokine receptor 4 was made. She received chemotherapy followed by allogeneic stem cell transplantation, which resulted in complete remission of her PTCL-NOS. She remained alive and disease-free 6 years later. This is the first reported case of PTCL-NOS developing during the clinical course of pustular psoriasis. The clinical manifestations of PTCL-NOS are complex, but an accurate diagnosis and appropriate therapy may produce a good clinical outcome in patients with PTCL-NOS.

摘要

一位 29 岁的女性患有慢性、迁延性脓疱性银屑病,因高热和全身性皮疹入住我院。全身检查发现全身皮疹和浅表淋巴结病。外周血检查显示未分类细胞 CD3、CD4 和 T 细胞受体 αβ 阳性,CD20 和 CD56 阴性。用药后不久,她出现急性呼吸衰竭,需要人工通气。支气管肺泡灌洗液显示外周血和皮肤中嗜酸性粒细胞和异常淋巴细胞数量增加,表型相同。她被诊断为嗜酸性粒细胞性肺炎,皮质类固醇治疗改善了她的呼吸衰竭。根据皮肤、淋巴结和骨髓活检的组织学发现,诊断为未分类的外周 T 细胞淋巴瘤(PTCL-NOS),CC 趋化因子受体 4 阳性。她接受了化疗和异基因造血干细胞移植,PTCL-NOS 完全缓解。6 年后,她仍然存活且无疾病。这是首例脓疱性银屑病病程中发生 PTCL-NOS 的报道。PTCL-NOS 的临床表现复杂,但准确的诊断和适当的治疗可能会给 PTCL-NOS 患者带来良好的临床结局。

https://cdn.ncbi.nlm.nih.gov/pmc/blobs/ca52/7917889/12215aa71b71/10.1177_0300060521996165-fig1.jpg

文献AI研究员

20分钟写一篇综述,助力文献阅读效率提升50倍。

立即体验

用中文搜PubMed

大模型驱动的PubMed中文搜索引擎

马上搜索

文档翻译

学术文献翻译模型,支持多种主流文档格式。

立即体验