Suppr超能文献

聚多巴胺修饰的金纳米棒对前列腺癌细胞系的胶体稳定性和细胞毒性。

Colloidal Stability and Cytotoxicity of Polydopamine-Conjugated Gold Nanorods against Prostate Cancer Cell Lines.

机构信息

Faculty of Pharmacy, Al-Zaytoonah University of Jordan, Amman 11733, Jordan.

School of Pharmacy, The University of Jordan, Amman 11942, Jordan.

出版信息

Molecules. 2021 Feb 28;26(5):1299. doi: 10.3390/molecules26051299.

Abstract

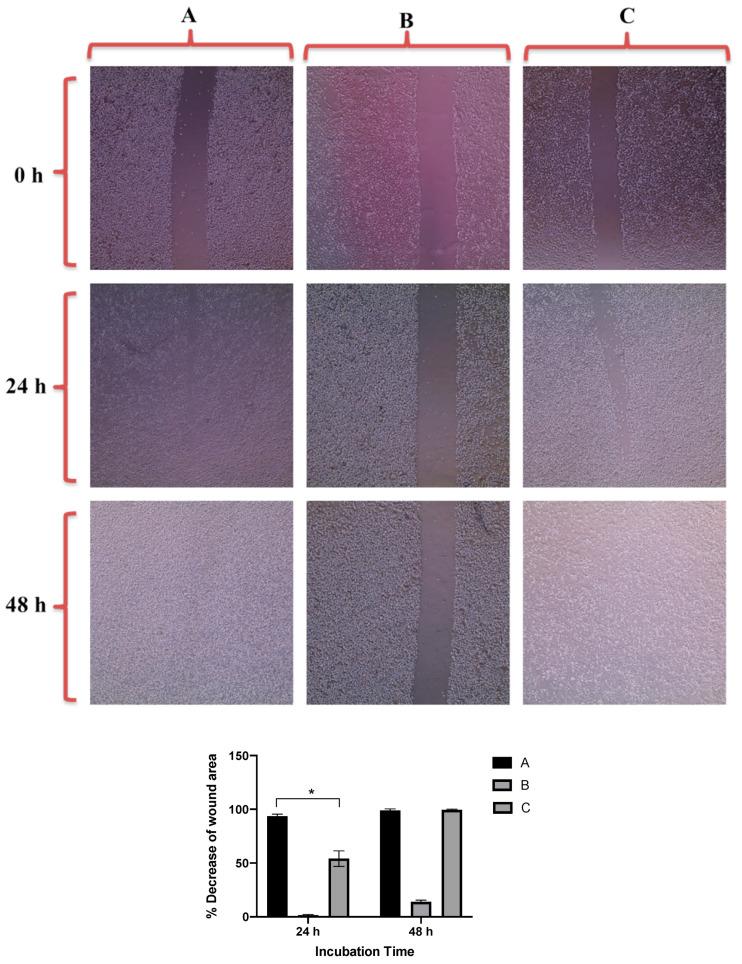
Prostate cancer is one of the most common cancers in men. Cell invasion is an important step in the process of cancer metastasis. Herein, gold nanorods (GNRs) and polyethylene glycol (PEG)-coated GNRs were conjugated with polydopamine (PDA). The PDA-nanoconjugates demonstrated excellent colloidal stability upon lyophilization and dispersion in cell culture media with or without the addition of fetal bovine albumin (FBS), compared to unconjugated GNRs. PDA-nanoconjugates exhibited a considerable cytotoxicity against DU-145 and PC3 prostate cancer cell lines over a concentration range of 48 μg/mL-12 μg/mL, while they were biocompatible over a concentration range of 3.0 μg/mL-0.185 μg/mL. Furthermore, PDA-nanoconjugates demonstrated possible anti-invasion activity towards prostate cancer cell lines, particularly DU-145 cell line, by reducing cell migration and cell adhesion properties. The PDA-nanoconjugates could be considered a promising nano-platform toward cancer treatment by reducing the invasion activity; it could also be considered a drug delivery system for chemotherapeutic agents.

摘要

前列腺癌是男性最常见的癌症之一。细胞侵袭是癌症转移过程中的重要步骤。在此,金纳米棒(GNRs)和聚乙二醇(PEG)包覆的 GNRs 与聚多巴胺(PDA)偶联。与未偶联的 GNRs 相比,PDA-纳米复合物在冻干和在含有或不含有胎牛血清(FBS)的细胞培养基中分散时表现出优异的胶体稳定性。PDA-纳米复合物在 48 μg/mL-12 μg/mL 的浓度范围内对 DU-145 和 PC3 前列腺癌细胞系表现出相当的细胞毒性,而在 3.0 μg/mL-0.185 μg/mL 的浓度范围内具有生物相容性。此外,PDA-纳米复合物通过降低细胞迁移和细胞黏附特性,对前列腺癌细胞系,特别是 DU-145 细胞系,表现出可能的抗侵袭活性。PDA-纳米复合物可被认为是一种有前途的癌症治疗纳米平台,可降低侵袭活性;它也可以被认为是化疗药物的药物递送系统。

https://cdn.ncbi.nlm.nih.gov/pmc/blobs/1526/7957783/28a7fd61d806/molecules-26-01299-g001.jpg

文献AI研究员

20分钟写一篇综述,助力文献阅读效率提升50倍。

立即体验

用中文搜PubMed

大模型驱动的PubMed中文搜索引擎

马上搜索

文档翻译

学术文献翻译模型,支持多种主流文档格式。

立即体验