Suppr超能文献

揭示肥厚型心肌病的一种不寻常拟表型:线粒体脑肌病伴乳酸血症和卒中样发作综合征

Unraveling an Unusual Phenocopy of Hypertrophic Cardiomyopathy: MELAS Syndrome.

作者信息

Reid Anna B, Venetucci Luigi, Schmitt Matthias, Nucifora Gaetano

机构信息

Cardiac Imaging Unit, North West Heart Centre, Manchester University NHS Foundation Trust, Manchester M23 9LT, UK.

Manchester Heart Centre, Manchester Royal Infirmary, Manchester University NHS Foundation Trust, Manchester M13 9WL, UK.

出版信息

Diagnostics (Basel). 2021 Feb 12;11(2):295. doi: 10.3390/diagnostics11020295.

Abstract

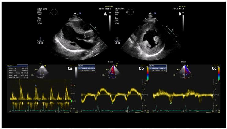
The mitochondrial myopathy, encephalopathy, lactic acidosis, and stroke-like episodes (MELAS) syndrome is an uncommon cause of cardiac hypertrophy, fibrosis, and dysfunction. It shares similar features to numerous other causes of left ventricular hypertrophy, and therefore, because of its rarity, may not be immediately considered as a diagnosis. Prompt recognition of clinical and cardiac imaging features may expedite diagnosis and management. We report the case of a 38-year-old man admitted with neurological symptoms and in whom the diagnostic workup led to the diagnosis of MELAS syndrome with cardiac involvement.

摘要

线粒体肌病、脑病、乳酸酸中毒和卒中样发作(MELAS)综合征是导致心脏肥大、纤维化和功能障碍的罕见病因。它与许多其他左心室肥大病因具有相似特征,因此,由于其罕见性,可能不会立即被考虑作为诊断。及时识别临床和心脏影像学特征可能会加快诊断和治疗。我们报告一例38岁男性患者,因神经症状入院,其诊断检查最终确诊为伴有心脏受累的MELAS综合征。

https://cdn.ncbi.nlm.nih.gov/pmc/blobs/9717/7917926/7b1b0f2d2c95/diagnostics-11-00295-g001.jpg

文献AI研究员

20分钟写一篇综述,助力文献阅读效率提升50倍。

立即体验

用中文搜PubMed

大模型驱动的PubMed中文搜索引擎

马上搜索

文档翻译

学术文献翻译模型,支持多种主流文档格式。

立即体验