Suppr超能文献

多发伤患者创伤性巨大肺血肿的成功管理

Successful management of traumatic giant pulmonary hematoma in poly-trauma patient.

作者信息

Son Shin-Ah, Lee Sang Cjeol, Cho Joon Yong

机构信息

Trauma Center, Department of Thoracic and Cardiovascular Surgery, School of Medicine, Kyungpook National University, Kyungpook National University Hospital, Daegu, Republic of Korea.

出版信息

Trauma Case Rep. 2021 Feb 18;32:100433. doi: 10.1016/j.tcr.2021.100433. eCollection 2021 Apr.

Abstract

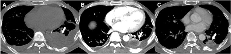
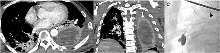
Traumatic pulmonary giant hematoma, resulting from blunt trauma, is a relatively rare event. Here, we report the rare case of a patient with a giant traumatic pulmonary hematoma that was associated with blunt trauma. A 50-year-old man was admitted to our medical center after a fall from a height of 5 m. He was diagnosed with pulmonary contusion, and tests showed a huge pulmonary hematoma of approximately 8.2 × 5.3 × 13.2 cm in the left lung field along with other significant injuries. Treatment comprised of aggressive coagulation management, broad-spectrum antibiotics, and pulmonary hygiene. The patient's symptoms gradually improved and magnetic resonance scan revealed that he did not develop an abscess formation. No complications were seen at the 6 months follow-up visit. If the above mentioned measures would have failed to control the bleeding or secondary infection, then emergency surgery would have been warranted. Awareness of this kind of injury and efforts to reduce infection are important to guide the giant traumatic pulmonary hematoma to the benign course.

摘要

创伤性肺巨大血肿由钝性创伤引起,是一种相对罕见的情况。在此,我们报告一例与钝性创伤相关的创伤性肺巨大血肿的罕见病例。一名50岁男性从5米高处坠落后来到我们的医疗中心。他被诊断为肺挫伤,检查显示左肺野有一个巨大的肺血肿,大小约为8.2×5.3×13.2厘米,同时伴有其他严重损伤。治疗包括积极的凝血管理、广谱抗生素和肺部护理。患者的症状逐渐改善,磁共振扫描显示他没有形成脓肿。在6个月的随访中未发现并发症。如果上述措施未能控制出血或继发感染,则有必要进行急诊手术。认识到这种损伤并努力减少感染对于引导创伤性肺巨大血肿走向良性病程很重要。

https://cdn.ncbi.nlm.nih.gov/pmc/blobs/ad4e/7930350/d97a000e09ed/gr1.jpg

文献AI研究员

20分钟写一篇综述,助力文献阅读效率提升50倍。

立即体验

用中文搜PubMed

大模型驱动的PubMed中文搜索引擎

马上搜索

文档翻译

学术文献翻译模型,支持多种主流文档格式。

立即体验