Genomic Medicine Institute, Lerner Research Institute, Cleveland Clinic, Cleveland, OH, USA.
Cleveland Clinic Lerner College of Medicine, Cleveland, OH, USA.
Cell Death Dis. 2021 Mar 22;12(4):304. doi: 10.1038/s41419-021-03589-9.
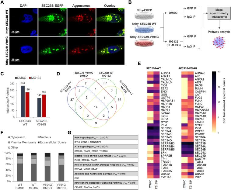
While germline recessive loss-of-function mutations in SEC23B in humans cause a rare form of anaemia, heterozygous change-of-function mutations result in increased predisposition to cancer. SEC23B encodes SEC23 homologue B, a component of coat protein complex II (COPII), which canonically transports proteins from the endoplasmic reticulum (ER) to the Golgi. Despite the association of SEC23B with anaemia and cancer, the precise pathophysiology of these phenotypic outcomes remains unknown. Recently, we reported that mutant SEC23B has non-canonical COPII-independent function, particularly within the ER stress and ribosome biogenesis pathways, and that may contribute to the pathobiology of cancer predisposition. In this study, we hypothesized that wild-type SEC23B has a baseline function within such cellular stress response pathways, with the mutant protein reflecting exaggerated effects. Here, we show that the wild-type SEC23B protein localizes to the nucleus in addition to classical distribution at the ER/Golgi interface and identify multiple putative nuclear localization and export signals regulating nuclear-cytoplasmic transport. Unexpectedly, we show that, independently of COPII, wild-type SEC23B can also localize to cell nucleoli under proteasome inhibition conditions, with distinct distribution patterns compared to mutant cells. Unbiased proteomic analyses through mass spectrometry further revealed that wild-type SEC23B interacts with a subset of nuclear proteins, in addition to central proteins in the ER stress, protein ubiquitination, and EIF2 signalling pathways. We validate the genotype-specific differential SEC23B-UBA52 (ribosomal protein RPL40) interaction. Finally, utilizing patient-derived lymphoblastoid cell lines harbouring either wild-type or mutant SEC23B, we show that SEC23B levels increase in response to ER stress, further corroborating its role as a cellular stress response sensor and/or effector. Overall, these observations suggest that SEC23B, irrespective of mutation status, has unexplored roles in the cellular stress response pathway, with implications relevant to cancer and beyond that, CDAII and normal cell biology.
虽然人类 SEC23B 种系隐性失能突变会导致一种罕见的贫血形式,但杂合功能获得性突变会导致癌症易感性增加。SEC23B 编码 SEC23 同源物 B,是衣壳蛋白复合物 II(COPII)的一个组成部分,COPII 通常将蛋白质从内质网(ER)转运到高尔基体。尽管 SEC23B 与贫血和癌症有关,但这些表型结果的确切病理生理学仍不清楚。最近,我们报道突变的 SEC23B 具有非典型的 COPII 非依赖性功能,特别是在内质网应激和核糖体生物发生途径中,这可能有助于癌症易感性的发病机制。在这项研究中,我们假设野生型 SEC23B 在这些细胞应激反应途径中具有基线功能,而突变蛋白则反映出夸大的作用。在这里,我们表明野生型 SEC23B 蛋白除了在 ER/Golgi 界面的经典分布外,还定位于细胞核,并鉴定出多个调节核质转运的潜在核定位和输出信号。出乎意料的是,我们发现,独立于 COPII,野生型 SEC23B 也可以在蛋白酶体抑制条件下定位于细胞核仁,与突变细胞相比具有不同的分布模式。通过质谱的无偏蛋白质组学分析进一步表明,野生型 SEC23B 除了与内质网应激、蛋白质泛素化和 EIF2 信号通路的核心蛋白相互作用外,还可以与一组核蛋白相互作用。我们验证了基因型特异性差异 SEC23B-UBA52(核糖体蛋白 RPL40)相互作用。最后,利用携带野生型或突变 SEC23B 的患者源性淋巴母细胞系,我们表明 SEC23B 水平在 ER 应激时增加,进一步证实了其作为细胞应激反应传感器和/或效应物的作用。总的来说,这些观察结果表明,SEC23B 无论突变状态如何,在细胞应激反应途径中都具有尚未被探索的作用,这对癌症以及 CDAII 和正常细胞生物学都有影响。