Abramson Family Cancer Research Institute, Perelman School of Medicine, University of Pennsylvania, Philadelphia, PA, USA.
Department of Cancer Biology, Perelman School of Medicine, University of Pennsylvania, Philadelphia, PA, USA.
Nat Metab. 2021 Mar;3(3):327-336. doi: 10.1038/s42255-021-00367-x. Epub 2021 Mar 23.
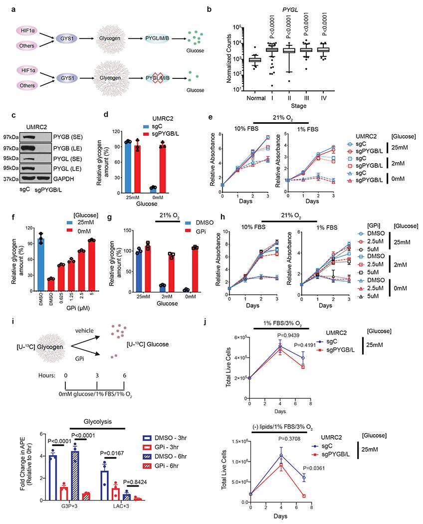
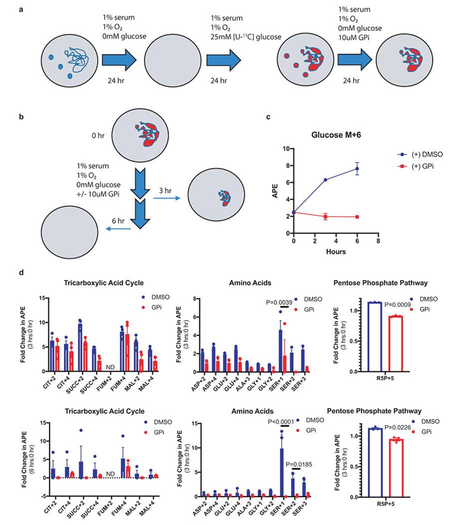
Glycogen accumulation is a highly consistent, distinguishable characteristic of clear cell renal cell carcinoma (ccRCC). While elevated glycogen pools might be advantageous for ccRCC cells in nutrient-deprived microenvironments to sustain tumour viability, data supporting a biological role for glycogen in ccRCC are lacking. Here, we demonstrate that glycogen metabolism is not required for ccRCC proliferation in vitro nor xenograft tumour growth in vivo. Disruption of glycogen synthesis by CRISPR-mediated knockout of glycogen synthase 1 (GYS1) has no effect on proliferation in multiple cell lines, regardless of glucose concentrations or oxygen levels. Similarly, prevention of glycogen breakdown by deletion or pharmacological inhibition of glycogen phosphorylase B (PYGB) and L (PYGL) has no impact on cell viability under any condition tested. Lastly, in vivo xenograft experiments using the ccRCC cell line, UMRC2, reveal no substantial changes in tumour size or volume when glycogen metabolism is altered, largely mimicking the phenotype of our in vitro observations. Our findings suggest that glycogen build-up in established ccRCC tumour cells is likely to be a secondary, and apparently dispensable, consequence of constitutively active hypoxia-inducible factor 1-alpha (HIF-1α) signalling.
糖原积累是透明细胞肾细胞癌 (ccRCC) 的一个高度一致且可区分的特征。虽然在营养缺乏的微环境中,升高的糖原池可能有利于 ccRCC 细胞维持肿瘤活力,但缺乏糖原在 ccRCC 中发挥生物学作用的证据。在这里,我们证明糖原代谢对于体外 ccRCC 增殖和体内异种移植肿瘤生长不是必需的。通过 CRISPR 介导的糖原合酶 1 (GYS1) 的敲除来破坏糖原合成,无论葡萄糖浓度或氧水平如何,对多种细胞系的增殖都没有影响。同样,通过删除或药理学抑制糖原磷酸化酶 B (PYGB) 和 L (PYGL) 来阻止糖原分解,在测试的任何条件下对细胞活力都没有影响。最后,使用 ccRCC 细胞系 UMRC2 的体内异种移植实验表明,当改变糖原代谢时,肿瘤大小或体积没有实质性变化,这在很大程度上模拟了我们体外观察的表型。我们的研究结果表明,在已建立的 ccRCC 肿瘤细胞中,糖原的积累可能是缺氧诱导因子 1 阿尔法 (HIF-1α) 信号持续激活的一个次要且显然可有可无的后果。