Suppr超能文献

经导管主动脉瓣脱垂合并膜周部室间隔缺损封堵的安全性和疗效:六年随访研究。

Safety and Efficacy of Transcatheter Occlusion of Perimembranous Ventricular Septal Defect with Aortic Valve Prolapse: A Six-Year Follow-Up Study.

机构信息

Graduate School, The Second School of Clinical Medicine, Southern Medical University, Guangzhou, China.

Department of Cardiac Pediatrics, Guangdong Provincial Cardiovascular Institute, Guangdong Provincial People's Hospital, Guangdong Academy of Medical Sciences, Guangzhou, China.

出版信息

J Interv Cardiol. 2021 Mar 18;2021:6634667. doi: 10.1155/2021/6634667. eCollection 2021.

Abstract

BACKGROUND

With the rapid development of transcatheter techniques and instruments, transcatheter occlusion for patients with perimembranous ventricular septal defect (pVSD) and aortic valve prolapse (AVP) was constantly being tried, while the efficacy and safety of pVSD with AVP remain controversial.

OBJECTIVE

The aim of this study was to evaluate long-term efficacy and safety of transcatheter occlusion of pVSD with AVP.

METHODS

We retrospectively analyzed 164 children with pVSD and AVP who underwent transcatheter occlusion between January 2013 and November 2014. AVP was divided into 3 degrees according to right coronary leaflet morphology at end-diastole during aortic root angiography. Patient demographic and clinical data were collected.

RESULTS

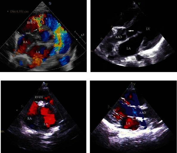
There were 97 males and 67 females (median age, 40.0 (30.0-62.7) months; average weight, 16.94 ± 9.02 kg). Mild ( = 63), moderate ( = 89), and severe ( = 12) AVP success rates were 93.7%, 89.9%, and 58.3%, respectively. Immediately after procedure, there was no new-onset aortic regurgitation (AR) above trivial degree, residual shunt above mild degree, or complications requiring medication or operation, except for 1 patient who developed transient complete atrioventricular block. During follow-up, 1 mild AVP patient aggravated from mild to moderate AR and 1 moderate AVP patient aggravated from trivial to moderate AR. The new-onset AR in mild, moderate, and severe AVP was 2%, 1.8%, and 20%, respectively. AR disappeared in 17 patients. Residual shunt occurred in 9 patients after procedure, 4 of which disappeared during the follow-up period. No serious complications occurred in any patient during follow-up. Five-year cardiovascular event-free survival rates for mild, moderate, and severe AVP were 89.6%, 94.5%, and 80.0%, respectively.

CONCLUSION

Transcatheter occlusion of pVSD with mild and moderate AVP has a high success rate and few complications, which is safe and effective in long-term follow-up. Transcatheter occlusion of pVSD with severe AVP has low success rates and high AR incidence. Therefore, transcatheter occlusion of pVSD with AVP is recommended for mild to moderate, but not severe, AVP.

摘要

背景

随着经导管技术和器械的快速发展,经导管封堵膜周部室间隔缺损(pVSD)合并主动脉瓣脱垂(AVP)患者的治疗方法不断得到尝试,然而 pVSD 合并 AVP 的疗效和安全性仍存在争议。

目的

本研究旨在评估经导管封堵 pVSD 合并 AVP 的长期疗效和安全性。

方法

我们回顾性分析了 2013 年 1 月至 2014 年 11 月期间 164 例 pVSD 合并 AVP 患儿接受经导管封堵治疗的临床资料。根据主动脉根部造影时右冠状动脉瓣在舒张末期的形态,将 AVP 分为 3 度。收集患者的人口统计学和临床资料。

结果

共纳入 97 例男性和 67 例女性(中位年龄 40.0(30.0-62.7)个月,平均体重 16.94±9.02kg)。轻度(n=63)、中度(n=89)和重度(n=12)AVP 成功率分别为 93.7%、89.9%和 58.3%。术后即刻,无新发轻度以上主动脉瓣反流(AR)、轻度以上残余分流或需要药物或手术治疗的并发症,仅 1 例患者出现一过性完全性房室传导阻滞。随访期间,1 例轻度 AVP 患者从轻度加重为中度 AR,1 例中度 AVP 患者从轻度加重为中度 AR。轻度、中度和重度 AVP 新发 AR 的发生率分别为 2%、1.8%和 20%。17 例患者 AR 消失。术后 9 例出现残余分流,其中 4 例在随访期间消失。随访期间无患者发生严重并发症。轻度、中度和重度 AVP 的 5 年心血管事件无复发生存率分别为 89.6%、94.5%和 80.0%。

结论

经导管封堵轻度和中度 AVP 合并 pVSD 的成功率高,并发症少,长期随访安全有效。经导管封堵重度 AVP 合并 pVSD 的成功率低,AR 发生率高。因此,建议对轻度至中度 AVP 患者进行 pVSD 合并 AVP 的经导管封堵治疗,而不建议对重度 AVP 患者进行该治疗。

https://cdn.ncbi.nlm.nih.gov/pmc/blobs/2e99/7997740/e52b9f8d130d/JITC2021-6634667.001.jpg

文献AI研究员

20分钟写一篇综述,助力文献阅读效率提升50倍。

立即体验

用中文搜PubMed

大模型驱动的PubMed中文搜索引擎

马上搜索

文档翻译

学术文献翻译模型,支持多种主流文档格式。

立即体验