Department of Neurology, Ulm University, Ulm, Germany.
German Center For Neurodegenerative Diseases (DZNE) Ulm, Ulm, Germany.
Brain. 2021 May 7;144(4):1214-1229. doi: 10.1093/brain/awab018.
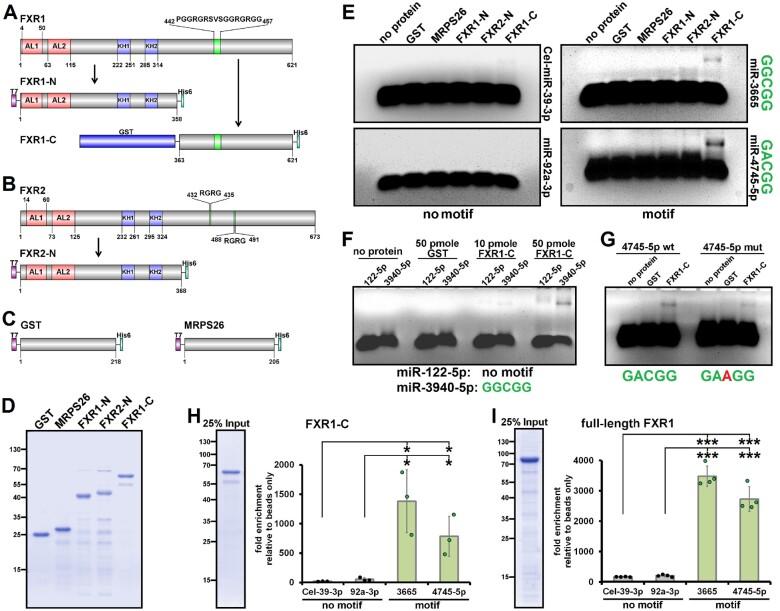
Knowledge about converging disease mechanisms in the heterogeneous syndrome amyotrophic lateral sclerosis (ALS) is rare, but may lead to therapies effective in most ALS cases. Previously, we identified serum microRNAs downregulated in familial ALS, the majority of sporadic ALS patients, but also in presymptomatic mutation carriers. A 5-nucleotide sequence motif (GDCGG; D = G, A or U) was strongly enriched in these ALS-related microRNAs. We hypothesized that deregulation of protein(s) binding predominantly to this consensus motif was responsible for the ALS-linked microRNA fingerprint. Using microRNA pull-down assays combined with mass spectrometry followed by extensive biochemical validation, all members of the fragile X protein family, FMR1, FXR1 and FXR2, were identified to directly and predominantly interact with GDCGG microRNAs through their structurally disordered RGG/RG domains. Preferential association of this protein family with ALS-related microRNAs was confirmed by in vitro binding studies on a transcriptome-wide scale. Immunohistochemistry of lumbar spinal cord revealed aberrant expression level and aggregation of FXR1 and FXR2 in C9orf72- and FUS-linked familial ALS, but also patients with sporadic ALS. Further analysis of ALS autopsies and induced pluripotent stem cell-derived motor neurons with FUS mutations showed co-aggregation of FXR1 with FUS. Hence, our translational approach was able to take advantage of blood microRNAs to reveal CNS pathology, and suggests an involvement of the fragile X-related proteins in familial and sporadic ALS already at a presymptomatic stage. The findings may uncover disease mechanisms relevant to many patients with ALS. They furthermore underscore the systemic, extra-CNS aspect of ALS.
关于在异质综合征肌萎缩侧索硬化症 (ALS) 中汇聚疾病机制的知识很少,但可能导致对大多数 ALS 病例有效的治疗方法。此前,我们鉴定了家族性 ALS、大多数散发性 ALS 患者以及无症状突变携带者中下调的血清 microRNAs。这些与 ALS 相关的 microRNAs 中强烈富集了一个 5 核苷酸序列基序 (GDCGG;D=G、A 或 U)。我们假设,主要结合该共有基序的蛋白的失调是导致 ALS 相关 microRNA 特征的原因。使用 microRNA 下拉测定法结合质谱分析,随后进行广泛的生化验证,脆性 X 蛋白家族的所有成员,包括 FMR1、FXR1 和 FXR2,都被鉴定为通过其结构无序的 RGG/RG 结构域直接且主要与 GDCGG microRNAs 相互作用。通过在全转录组范围内进行体外结合研究,进一步证实了该蛋白家族与 ALS 相关 microRNAs 的优先关联。对 C9orf72 和 FUS 相关家族性 ALS 以及散发性 ALS 患者的腰椎脊髓免疫组织化学研究显示,FXR1 和 FXR2 的表达水平异常和聚集。对 ALS 尸检和诱导多能干细胞衍生的具有 FUS 突变的运动神经元的进一步分析显示,FXR1 与 FUS 共聚集。因此,我们的转化方法能够利用血液 microRNAs 来揭示中枢神经系统病理学,并表明脆性 X 相关蛋白在家族性和散发性 ALS 中已经在亚临床阶段参与。这些发现可能揭示与许多 ALS 患者相关的疾病机制。它们进一步强调了 ALS 的系统性、中枢神经系统外方面。