Department of Emergency, The First Affiliated Hospital of Nanjing Medical University, Nanjing, Jiangsu 210029, P.R. China.
Department of Cardiology, The First Affiliated Hospital of Nanjing Medical University, Nanjing, Jiangsu 210029, P.R. China.
Int J Mol Med. 2021 Jul;48(1). doi: 10.3892/ijmm.2021.4958. Epub 2021 May 13.
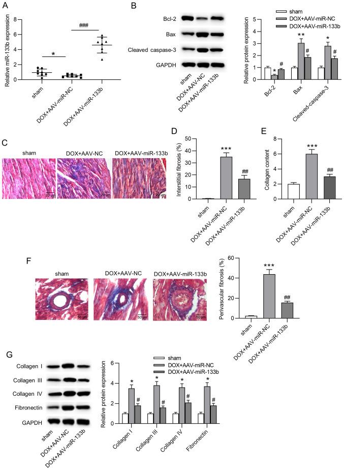
Doxorubicin is one of the most important chemotherapeutic drugs for the treatment of malignant tumors, but the cardiotoxicity of doxorubicin severely limits its clinical application. Increasing numbers of microRNAs (miRNAs/miRs) have been found to be dysregulated in doxorubicin‑treated cardiomyocytes or animal hearts. The current study aimed to investigate the role of miR‑133b in doxorubicin‑induced cardiomyocyte injury. Doxorubicin was used to treat HL‑1 cardiomyocytes to mimic cardiomyocyte injury . A mouse model of cardiac injury was generated by chronic intraperitoneal injections of doxorubicin. Masson's trichrome staining was performed on cardiac tissues to reveal cardiac fibrosis. Bioinformatics analysis and luciferase reporter assays were applied to explore the downstream targets of miR‑133b. Flow cytometry and western blotting were conducted to detect cardiomyocyte apoptosis. Protein expression levels of collagen I, III and IV, and fibronectin were detected to reveal extracellular matrix deposition. The results revealed that doxorubicin decreased miR‑133b expression in the treated HL‑1 cardiomyocytes and mouse hearts. Overexpression of miR‑133b restrained cardiomyocyte apoptosis, inhibited collagen accumulation and alleviated cardiac fibrosis . Mechanistically, polypyrimidine tract binding protein 1 (PTBP1) and transgelin 2 (TAGLN2) were confirmed to bind to miR‑133b after prediction and screening. Moreover, miR‑133b negatively regulated the protein expression levels of PTBP1 and TAGLN2. Finally, overexpression of PTBP1 or TAGLN2 reversed the effects of miR‑133b on apoptosis and collagen accumulation. Thus, the current results indicated that miR‑133b alleviated doxorubicin‑induced cardiomyocyte apoptosis and cardiac fibrosis by targeting PTBP1 and TAGLN2, implying that miR‑133b may be a potential biomarker for doxorubicin‑induced cardiac injury.
阿霉素是治疗恶性肿瘤的最重要的化疗药物之一,但阿霉素的心脏毒性严重限制了其临床应用。越来越多的 microRNAs(miRNAs/miRs)被发现在内源性阿霉素处理的心肌细胞或动物心脏中失调。本研究旨在探讨 miR-133b 在阿霉素诱导的心肌细胞损伤中的作用。使用阿霉素处理 HL-1 心肌细胞以模拟心肌细胞损伤。通过慢性腹腔内注射阿霉素建立心脏损伤的小鼠模型。对心脏组织进行 Masson 三色染色以显示心脏纤维化。应用生物信息学分析和荧光素酶报告基因实验来探索 miR-133b 的下游靶标。通过流式细胞术和 Western blot 检测心肌细胞凋亡。检测胶原 I、III 和 IV 以及纤连蛋白的蛋白表达水平,以揭示细胞外基质沉积。结果显示,阿霉素降低了处理的 HL-1 心肌细胞和小鼠心脏中的 miR-133b 表达。miR-133b 的过表达抑制了心肌细胞凋亡,抑制了胶原积累并减轻了心脏纤维化。机制上,经预测和筛选后证实多嘧啶 tract 结合蛋白 1(PTBP1)和转胶蛋白 2(TAGLN2)与 miR-133b 结合。此外,miR-133b 负调控 PTBP1 和 TAGLN2 的蛋白表达水平。最后,过表达 PTBP1 或 TAGLN2 逆转了 miR-133b 对凋亡和胶原积累的影响。因此,目前的结果表明,miR-133b 通过靶向 PTBP1 和 TAGLN2 减轻阿霉素诱导的心肌细胞凋亡和心脏纤维化,表明 miR-133b 可能是阿霉素诱导心脏损伤的潜在生物标志物。