Suppr超能文献

印度南部横纹肌溶解相关肌红蛋白管型肾病的病因谱及组织病理学诊断

Etiological Spectrum and Histopathological Diagnosis of Rhabdomyolysis Associated Myoglobin Cast Nephropathy in South India.

作者信息

Jansi Prema K S, Kurien Anila Abraham

机构信息

Renopath, Center for Renal and Urological Pathology, Chennai, Tamil Nadu, India.

出版信息

Indian J Nephrol. 2021 Jan-Feb;31(1):22-26. doi: 10.4103/ijn.IJN_383_19. Epub 2021 Jan 27.

Abstract

BACKGROUND AND AIMS

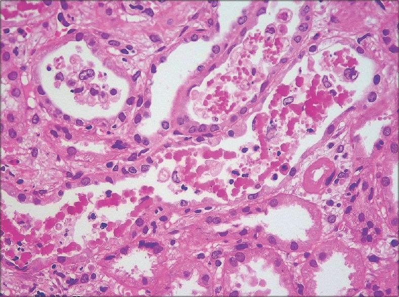
Rhabdomyolysis occurs due to injury to skeletal muscle fibers and the release of muscle constituents into the circulation. Myoglobin cast nephropathy leading to acute kidney injury is one of the most severe complications of rhabdomyolysis. This is a retrospective study which aims to analyse the clinicopathological features of myoglobin cast nephropathy.

METHODS

A total of 57 cases of myoglobin cast nephropathy were identified after performing immunohistochemical staining for myoglobin on all renal biopsies with pigment casts. The clinical, laboratory data, histopathological findings and clinical outcome of these cases were evaluated.

RESULTS

The mean patient age was 34.47 years (range 17-77) and the male to female ratio was 6.1:1. All patients presented with acute kidney injury with mean serum creatinine of 8.4 mg/dl (range: 1.7 to 20.8 mg/dl). Rhabdomyolysis was clinically suspected only in 31 patients. Along with myoglobin casts, acute tubular injury was present in all the biopsies. The most frequent conditions associated with myoglobin cast nephropathy in our study were snake envenomation and unaccustomed physical activities. A few activities that caused rhabdomyolysis in our patients were unique to India.

CONCLUSION

Clinicians should be aware of the wide spectrum of causes for rhabdomyolysis. The classical clinical and laboratory findings of rhabdomyolysis may not be present in many of the patients. The pathologist must have a high index of suspicion, and immunohistochemical stain should be used to confirm the diagnosis.

摘要

背景与目的

横纹肌溶解症是由于骨骼肌纤维受损,肌肉成分释放进入循环系统所致。肌红蛋白管型肾病导致急性肾损伤是横纹肌溶解症最严重的并发症之一。本研究旨在分析肌红蛋白管型肾病的临床病理特征。

方法

对所有有色素管型的肾活检标本进行肌红蛋白免疫组化染色,共识别出57例肌红蛋白管型肾病患者。对这些病例的临床、实验室数据、组织病理学结果及临床结局进行评估。

结果

患者平均年龄为34.47岁(范围17 - 77岁),男女比例为6.1:1。所有患者均出现急性肾损伤,平均血清肌酐为8.4 mg/dl(范围:1.7至20.8 mg/dl)。临床上仅31例患者怀疑有横纹肌溶解症。除肌红蛋白管型外,所有活检标本均存在急性肾小管损伤。在我们的研究中,与肌红蛋白管型肾病相关最常见的情况是蛇咬伤和不习惯的体育活动。在我们的患者中,一些导致横纹肌溶解症的活动在印度是独特的。

结论

临床医生应意识到横纹肌溶解症病因的多样性。许多患者可能不存在横纹肌溶解症的典型临床和实验室表现。病理学家必须高度怀疑,并应使用免疫组化染色来确诊。

https://cdn.ncbi.nlm.nih.gov/pmc/blobs/a22b/8101665/0a7006a4c3cf/IJN-31-22-g001.jpg

文献AI研究员

20分钟写一篇综述,助力文献阅读效率提升50倍。

立即体验

用中文搜PubMed

大模型驱动的PubMed中文搜索引擎

马上搜索

文档翻译

学术文献翻译模型,支持多种主流文档格式。

立即体验