Suppr超能文献

相似文献

1
Dentinogenesis imperfecta type II: Diagnosis, functional and esthetic rehabilitation in mixed dentition.
J Oral Maxillofac Pathol. 2021 Mar;25(Suppl 1):S76-S80. doi: 10.4103/jomfp.JOMFP_172_20. Epub 2021 Mar 19.
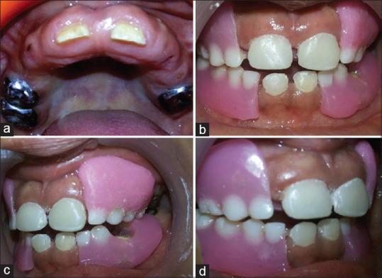
2
Full Mouth Rehabilitation of Two Siblings with Dentinogenesis Imperfecta Type II Using Different Treatment Modalities.
Int J Environ Res Public Health. 2020 Sep 25;17(19):7029. doi: 10.3390/ijerph17197029.
3
Dentinogenesis imperfecta: long-term rehabilitation in a child.
J Dent Child (Chic). 2008 May-Aug;75(2):192-6.
4
Dentinogenesis imperfecta type II: A case report with 17 years of follow-up.
Imaging Sci Dent. 2017 Jun;47(2):129-133. doi: 10.5624/isd.2017.47.2.129. Epub 2017 Jun 22.
5
A multidisciplinary approach to the functional and esthetic rehabilitation of dentinogenesis imperfecta type II: A clinical report.
J Prosthet Dent. 2019 Aug;122(2):95-103. doi: 10.1016/j.prosdent.2018.10.028. Epub 2019 Apr 9.
7
Type II in Children: A Scoping Review.
J Clin Pediatr Dent. 2019;43(3):147-154. doi: 10.17796/1053-4625-43.3.1. Epub 2019 Apr 9.
9
Case report: Rehabilitation of a child with dentinogenesis imperfecta with CAD/CAM approach: Three-year follow-up.
Spec Care Dentist. 2020 Sep;40(5):511-518. doi: 10.1111/scd.12500. Epub 2020 Jul 26.
10
A Digital Esthetic Rehabilitation of a Patient with Dentinogenesis Imperfecta Type II: A Clinical Report.
J Prosthodont. 2020 Oct;29(8):643-650. doi: 10.1111/jopr.13237. Epub 2020 Sep 10.

引用本文的文献

1
Functional and Aesthetic Treatment of Patients With Tooth Structure Anomalies: A Narrative Review.
Cureus. 2025 Jul 28;17(7):e88878. doi: 10.7759/cureus.88878. eCollection 2025 Jul.

本文引用的文献

4
Dentinogenesis imperfecta: an early treatment strategy.
Pediatr Dent. 2001 May-Jun;23(3):232-7.
5
Psychological effects of aesthetic dental treatment.
J Dent. 1998 Sep;26(7):547-54. doi: 10.1016/s0300-5712(97)00031-6.
6
Dentin matrix proteins.
Eur J Oral Sci. 1998 Jan;106 Suppl 1:204-10. doi: 10.1111/j.1600-0722.1998.tb02177.x.
7
Ultrastructure of dentin matrix in heritable dentin defects.
Scanning Microsc. 1995 Mar;9(1):185-97; discussion 197-8.
8
Preformed polycarbonate crowns for the restoration of anterior teeth.
J Am Dent Assoc. 1974 Jan;88(1):103-7. doi: 10.14219/jada.archive.1974.0018.
9
A proposed classification for heritable human dentine defects with a description of a new entity.
Arch Oral Biol. 1973 Apr;18(4):543-53. doi: 10.1016/0003-9969(73)90075-7.
10
Clinical and histologic observations of opalescent dentin associated with enamel defects.
Oral Surg Oral Med Oral Pathol. 1977 Nov;44(5):767-74. doi: 10.1016/0030-4220(77)90386-3.

文献AI研究员

20分钟写一篇综述,助力文献阅读效率提升50倍。

立即体验

用中文搜PubMed

大模型驱动的PubMed中文搜索引擎

马上搜索

文档翻译

学术文献翻译模型,支持多种主流文档格式。

立即体验