Suppr超能文献

lincZNF337-AS1 通过 KAT5 介导的 H2A.Z 乙酰化作用参与肝癌中癌症信号通路的转录失调。

H2A.Z acetylation by lincZNF337-AS1 via KAT5 implicated in the transcriptional misregulation in cancer signaling pathway in hepatocellular carcinoma.

机构信息

The Department of Hepatobiliary Surgery of Hospital Affiliated 5 to Nantong University(Taizhou People's Hospital), Taizhou, Jiangsu Province, China.

The Department of Liver Disease of Hospital Affiliated 5 to Nantong University(Taizhou People's Hospital), Taizhou, Jiangsu Province, China.

出版信息

Cell Death Dis. 2021 Jun 12;12(6):609. doi: 10.1038/s41419-021-03895-2.

Abstract

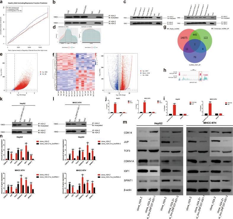
In eukaryotes, histones and their variants are essential for chromatin structure and function; both play important roles in the regulation of gene transcription, as well as the development of tumors. We aimed to explore the genomics data of hepatocellular carcinoma (HCC), combined with literature analysis, in terms of the histone variant H2A.Z. Cell phenotype assay confirmed the effect of H2A.Z on the proliferation, metastasis, apoptosis, and cell cycle of HCC cells. H2A.Z was shown to function via the tumor dysregulation signaling pathway, with BCL6 as its interacting protein. In addition, the acetylation level of H2A.Z was higher in HCC and was related to tumor formation. We found the acetylation of H2A.Z to be related to and regulated by lincZNF337-AS1. LincZNF337-AS1 was found to bind to H2A.Z and KAT5 at different sites, promoting the acetylation of H2A.Z through KAT5. We concluded that, in HCC, H2A.Z is an oncogene, whose acetylation promotes the transcription of downstream genes, and is regulated by lincZNF331-AS1.

摘要

在真核生物中,组蛋白及其变体对于染色质的结构和功能至关重要;它们在基因转录调控以及肿瘤的发生发展中都发挥着重要作用。我们旨在通过对肝细胞癌 (HCC) 的基因组学数据进行分析,并结合文献,探讨组蛋白变体 H2A.Z。细胞表型测定证实了 H2A.Z 对 HCC 细胞增殖、转移、凋亡和细胞周期的影响。研究表明,H2A.Z 通过肿瘤失调信号通路发挥作用,BCL6 是其相互作用蛋白。此外,H2A.Z 的乙酰化水平在 HCC 中较高,与肿瘤形成有关。我们发现 H2A.Z 的乙酰化与 lincZNF337-AS1 相关,并受其调控。LincZNF337-AS1 被发现与 H2A.Z 和 KAT5 在不同的位点结合,通过 KAT5 促进 H2A.Z 的乙酰化。综上所述,在 HCC 中,H2A.Z 是一种癌基因,其乙酰化促进下游基因的转录,并受 lincZNF331-AS1 的调控。

https://cdn.ncbi.nlm.nih.gov/pmc/blobs/ed83/8197763/0e55a03e29be/41419_2021_3895_Fig1_HTML.jpg

文献AI研究员

20分钟写一篇综述,助力文献阅读效率提升50倍。

立即体验

用中文搜PubMed

大模型驱动的PubMed中文搜索引擎

马上搜索

文档翻译

学术文献翻译模型,支持多种主流文档格式。

立即体验