Suppr超能文献

转移性神经内分泌肿瘤长期存活者中的获得性肝脑变性——神经内分泌肿瘤治疗的最新进展:一例病例报告

Acquired hepatocerebral degeneration in a metastatic neuroendocrine tumor long-term survivor - an update on neuroendocrine neoplasm's treatment: A case report.

作者信息

Mirallas Oriol, Saoudi Nadia, Gómez-Puerto Diego, Riveiro-Barciela Mar, Merino Xavier, Auger Cristina, Landolfi Stefania, Blanco Laia, Garcia-Burillo Amparo, Molero Xavier, Salcedo-Allende Maria Teresa, Capdevila Jaume

机构信息

Medical Oncology Department, Vall d'Hebron University Hospital, Vall Hebron Institute of Oncology, Barcelona 08035, Catalunya, Spain.

Liver Unit, Department of Internal Medicine, Centro de Investigación Biomédica en Red de Enfermedades Hepáticas y Digestivas, Hospital Universitari Vall d'Hebron, Universitat Autònoma de Barcelona, Barcelona 08035, Catalunya, Spain.

出版信息

World J Hepatol. 2021 May 27;13(5):611-619. doi: 10.4254/wjh.v13.i5.611.

Abstract

BACKGROUND

Metastatic small bowel low-grade neuroendocrine tumors (NETs) have a good prognosis. Surgery is the only curative treatment; however, this may induce advanced liver disease, particularly in long-term survivor patients. Acquired hepatocerebral degeneration or Parkinsonism in cirrhosis is characterized by rapidly progressive extrapyramidal symptoms in patients with advanced liver disease.

CASE SUMMARY

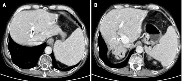
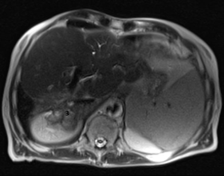
A 70-year-old man presented to the emergency department with diminished consciousness and disorientation, and was diagnosed with hepatic encephalopathy. The patient was diagnosed in 1993 with a metastatic small bowel NET, for which he twice underwent hepatic surgery, with metastatic resection in 1993 and a right hepatectomy in 2002 to remove two hepatic metastases. In 2003, the patient started first-line chemotherapy and in 2004 started the first of three consecutive biological treatments, followed by radio-molecular therapy, achieving stable disease for 14 years. Disease progression was identified and he underwent an endoscopic retrograde cholangiopancreatography. However, in 2019 advanced liver disease was identified. We diagnosed the development of acquired hepatocerebral degeneration, an unusual long-term side effect after multiple hepatic procedures.

CONCLUSION

The importance of regular and ongoing surveillance in long-term NET survivors who undergo hepatic procedures should be integrated into the therapeutic management plan, as some of these negative outcomes could be prevented.

摘要

背景

转移性小肠低级别神经内分泌肿瘤(NETs)预后良好。手术是唯一的治愈性治疗方法;然而,这可能会引发晚期肝病,尤其是在长期存活的患者中。肝硬化患者出现的获得性肝脑变性或帕金森综合征的特征是晚期肝病患者出现快速进展的锥体外系症状。

病例摘要

一名70岁男性因意识减退和定向障碍就诊于急诊科,被诊断为肝性脑病。该患者于1993年被诊断为转移性小肠NET,为此他接受了两次肝脏手术,1993年进行了转移性切除术,2002年进行了右肝切除术以切除两处肝转移灶。2003年,患者开始一线化疗,2004年开始连续三次生物治疗中的第一次,随后进行放射分子治疗,病情稳定了14年。发现疾病进展后,他接受了内镜逆行胰胆管造影术。然而,2019年发现了晚期肝病。我们诊断为获得性肝脑变性的发生,这是多次肝脏手术后一种不常见的长期副作用。

结论

对于接受肝脏手术的长期NET幸存者,应将定期持续监测的重要性纳入治疗管理计划,因为其中一些不良后果是可以预防的。

https://cdn.ncbi.nlm.nih.gov/pmc/blobs/8807/8173341/60cf4d2edd17/WJH-13-611-g001.jpg

文献AI研究员

20分钟写一篇综述,助力文献阅读效率提升50倍。

立即体验

用中文搜PubMed

大模型驱动的PubMed中文搜索引擎

马上搜索

文档翻译

学术文献翻译模型,支持多种主流文档格式。

立即体验