Suppr超能文献

眼柄切除后睾丸的转录组分析,用于筛选参与[物种名称]雄性性发育的候选基因

Transcriptome Profiling Analysis of the Testis After Eyestalk Ablation for Selection of the Candidate Genes Involved in the Male Sexual Development in .

作者信息

Jin Shubo, Fu Yin, Hu Yuning, Fu Hongtuo, Jiang Sufei, Xiong Yiwei, Qiao Hui, Zhang Wenyi, Gong Yongsheng, Wu Yan

机构信息

Key Laboratory of Freshwater Fisheries and Germplasm Resources Utilization, Ministry of Agriculture, Freshwater Fisheries Research Center, Chinese Academy of Fishery Sciences, Wuxi, China.

Key Laboratory of Marine and Estuarine Fisheries, Ministry of Agriculture, East China Sea Fisheries Research Institute, Chinese Academy of Fishery Sciences, Shanghai, China.

出版信息

Front Genet. 2021 May 31;12:675928. doi: 10.3389/fgene.2021.675928. eCollection 2021.

Abstract

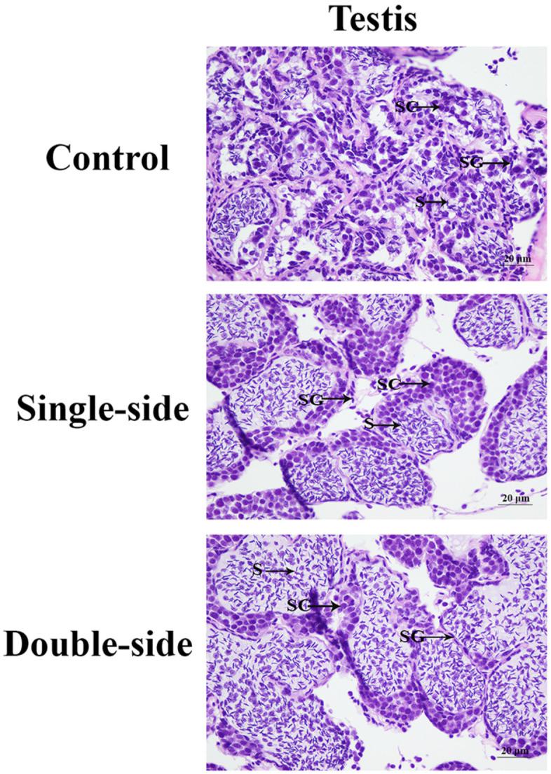
The eyestalk of crustacean species secretes many hormones, affecting the process of reproduction, molting, metabolism of glucose, and other functions in crustaceans. In this study, important metabolic pathways and candidate genes involved in the male sexual development were identified through performing the transcriptome profiling analysis of the testis after the ablation of eyestalk from . The histological observations revealed that the testis development became vigorous after eyestalk ablation, indicating that the hormones secreted by the eyestalk have negative effects on the testis development in . Transcriptome profiling analysis revealed that 1,039, 1,226, and 3,682 differentially expressed genes (DEGs) were identified between normal prawns (CG) vs single-side eyestalk ablation prawns (SS), SS vs double-side eyestalk ablation prawns (DS), and CG vs DS, respectively, indicating that the ablation of double-side eyestalk has more significant regulatory roles on male sexual development than that of single-side ablation, which was consistent with the histological observations. Lysosome, Apoptosis, Glycolysis/Gluconeogenesis, and Insulin signaling pathway were the main enriched metabolic pathways in all of these three comparisons, and the important genes from these metabolic pathways were also selected. The qPCR verifications of 10 DEGs from these metabolic pathways were the same as those of RNA-seq. The qPCR, hybridization, and RNA interference analysis of Mn-NFBα revealed that NFBα has a positive regulatory effect on testis development. This study provided new insights on male sexual development in . , promoting the studies on male sexual development in other crustaceans as well.

摘要

甲壳类动物的眼柄分泌多种激素,影响着甲壳类动物的繁殖、蜕皮、葡萄糖代谢及其他功能。在本研究中,通过对[物种名称]眼柄切除后睾丸进行转录组分析,确定了参与雄性性发育的重要代谢途径和候选基因。组织学观察表明,眼柄切除后睾丸发育变得旺盛,这表明眼柄分泌的激素对[物种名称]的睾丸发育具有负面影响。转录组分析显示,正常对虾(CG)与单侧眼柄切除对虾(SS)、SS与双侧眼柄切除对虾(DS)、CG与DS之间分别鉴定出1039个、1226个和3682个差异表达基因(DEG),这表明双侧眼柄切除对雄性性发育的调控作用比单侧切除更为显著,这与组织学观察结果一致。溶酶体、凋亡、糖酵解/糖异生和胰岛素信号通路是这三个比较中主要富集的代谢途径,并且还从这些代谢途径中选择了重要基因。对这些代谢途径中的10个DEG进行qPCR验证,结果与RNA测序一致。对Mn-NFBα进行qPCR、杂交和RNA干扰分析表明,NFBα对睾丸发育具有正向调控作用。本研究为[物种名称]的雄性性发育提供了新的见解,也促进了其他甲壳类动物雄性性发育的研究。

https://cdn.ncbi.nlm.nih.gov/pmc/blobs/a018/8202825/0de9d4ad7045/fgene-12-675928-g001.jpg

文献AI研究员

20分钟写一篇综述,助力文献阅读效率提升50倍。

立即体验

用中文搜PubMed

大模型驱动的PubMed中文搜索引擎

马上搜索

文档翻译

学术文献翻译模型,支持多种主流文档格式。

立即体验