Mainolfi Ciro Gabriele, D'Antonio Adriana, Mango Gaia, De Lucia Dalila, Buffardi Salvatore, Marra Nicoletta, Errico Maria Elena, Cuocolo Alberto
Department of Advanced Biomedical Sciences, University of Naples Federico II, Via Pansini 5, 80131 Naples, Italy.
Pediatric Haemato-Oncology Department, Santobono-Pausilipon Children's Hospital, Naples, Italy.
Radiol Case Rep. 2021 Jun 8;16(8):2047-2052. doi: 10.1016/j.radcr.2021.04.082. eCollection 2021 Aug.
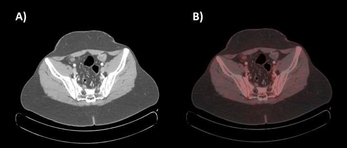
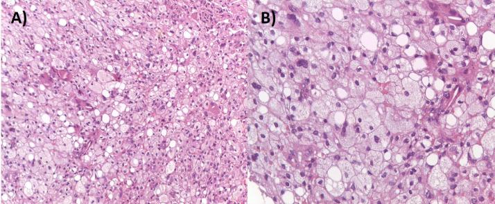
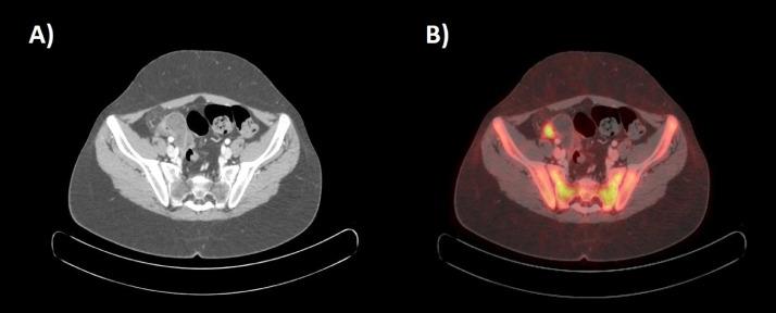
Inflammatory pseudotumor is a rare benign mesenchymal pediatric neoplasm, that can mimic tumoral residue or relapse at metabolic imaging with nonspecific clinical presentation and difficult diagnosis. We present the case of a 14year old male patient with fever of unknown origin and large ileal mass, diagnosed with and treated for Burkitt lymphoma, who performed several 18-fluoro-deoxyglucose (18F-FDG) positron emission tomography (PET)/computed tomography (CT) scans, during and after first line chemotherapy, showing persistent and focal uptake, while ileal mass volume decreased dramatically and the patient was clinically asymptomatic. Histopathological analysis of residual ileal mass was suggestive for xanthomatous pseudotumor, a type of inflammatory pseudotumor. No more treatment was performed and a short-term follow up with 18F-FDG PET/CT showed tracer uptake intensity decreasing progressively over the next few months. This case reports an uncommon presentation of a rare disease, inflammatory pseudotumor of the small bowel developed at the site of treated Burkitt lymphoma, underscoring the potential role of 18F-FDG PET/CT imaging in the diagnosis and management of these rare neoplasms, particularly in asymptomatic patients.
炎性假瘤是一种罕见的小儿良性间叶性肿瘤,在代谢成像中可表现为肿瘤残留或复发,临床表现不具特异性,诊断困难。我们报告了一例14岁男性患者,该患者不明原因发热,回肠有巨大肿块,诊断为伯基特淋巴瘤并接受治疗,在一线化疗期间及化疗后进行了多次18氟脱氧葡萄糖(18F-FDG)正电子发射断层扫描(PET)/计算机断层扫描(CT),扫描显示有持续性局灶性摄取,而回肠肿块体积显著减小,且患者临床无症状。对残留回肠肿块的组织病理学分析提示为黄色瘤样假瘤,这是炎性假瘤的一种类型。未再进行进一步治疗,短期随访的18F-FDG PET/CT显示在接下来的几个月中示踪剂摄取强度逐渐降低。本病例报告了一种罕见疾病的不常见表现,即在接受治疗的伯基特淋巴瘤部位发生的小肠炎性假瘤,强调了18F-FDG PET/CT成像在这些罕见肿瘤的诊断和管理中的潜在作用,特别是对于无症状患者。