Suppr超能文献

口腔扁平苔藓中的异型增生:相关性、争议和挑战。立场文件。

Dysplasia in oral lichen planus: relevance, controversies and challenges. A position paper.

机构信息

Oral Medicine Department, School of Dentistry, University of Granada Granada, Paseo de Cartuja s/n, 18071 Granada, Spain

出版信息

Med Oral Patol Oral Cir Bucal. 2021 Jul 1;26(4):e541-e548. doi: 10.4317/medoral.24610.

Abstract

BACKGROUND

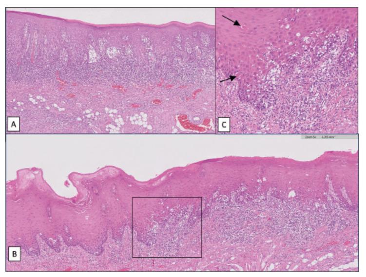
Patients with oral lichen planus (OLP) have an increased risk of oral cancer. For this reason, OLP is classified as an oral potentially malignant disorder. However, the precise personal (or individual) risk is unknown. Recent meta-analytical studies have reported that dysplastic OLP may transform to cancer in around 6% of cases, while the rate of transformation is lower (<1.5%) in non-dysplastic cases. The presence of epithelial dysplasia has emerged as the most powerful indicator for assessing cancer risk in oral potentially malignant disorders in routine practice. However, the general acceptance of epithelial dysplasia as an accompanying histologic feature in OLP is subject to great controversy. Many pathologists consider the presence of dysplasia as a criterion to exclude OLP when routinely reporting on this disease. This practice, widespread among oral pathology professionals, has resulted in the underestimation of the potential for malignancy of OLP.

MATERIAL AND METHODS

A review of the literature was carried out in order to critically analyze the relevance, controversies and challenges encountered across the diagnosis of epithelial dysplasia in OLP.

RESULTS

12 studies have been published examining dysplastic changes in OLP, reporting figures ranging from 0.54% to 25% of cases with dysplasia in the first diagnostic biopsy. The diagnosis of dysplasia in the OLP poses an additional difficulty due to the fact that the affected oral epithelium per se develops changes related to autoimmune aggression. Among the most frequent histological features of OLP that develops dysplasia are basal cell hyperplasia with basaloid appearance, loss of basal cells polarity, cellular and nuclear pleomorphism and irregular stratification.

CONCLUSIONS

Epithelial dysplasia should not be considered an exclusion criterion for OLP; its evaluation requires experienced pathologists in this field.

摘要

背景

口腔扁平苔藓(OLP)患者发生口腔癌的风险增加。因此,OLP 被归类为口腔潜在恶性疾病。然而,确切的个人(或个体)风险尚不清楚。最近的荟萃分析研究报告称,约有 6%的不典型性 OLP 可能恶变为癌症,而非不典型性病例的恶变率较低(<1.5%)。上皮不典型增生的存在已成为评估口腔潜在恶性疾病中癌症风险的最有力指标。然而,上皮不典型增生作为 OLP 中伴随的组织学特征被广泛接受仍存在很大争议。许多病理学家认为,在常规报告这种疾病时,不典型增生的存在是排除 OLP 的标准。这种做法在口腔病理学专业人员中非常普遍,导致 OLP 的恶性潜能被低估。

材料和方法

对文献进行了综述,以批判性地分析在 OLP 上皮不典型增生的诊断中遇到的相关性、争议和挑战。

结果

共发表了 12 项研究,检查了 OLP 中的不典型性改变,报告的病例中不典型性发生率从首次诊断性活检的 0.54%到 25%不等。OLP 中的不典型性诊断存在额外的困难,因为受影响的口腔上皮本身会发生与自身免疫攻击相关的变化。在发生不典型性的 OLP 中最常见的组织学特征包括基底细胞增生伴基底样外观、基底细胞极性丧失、细胞和核多形性以及不规则分层。

结论

上皮不典型增生不应被视为 OLP 的排除标准;其评估需要该领域经验丰富的病理学家。

https://cdn.ncbi.nlm.nih.gov/pmc/blobs/715b/8254877/2e9189a77f61/medoral-26-e541-g001.jpg

文献AI研究员

20分钟写一篇综述,助力文献阅读效率提升50倍。

立即体验

用中文搜PubMed

大模型驱动的PubMed中文搜索引擎

马上搜索

文档翻译

学术文献翻译模型,支持多种主流文档格式。

立即体验