Suppr超能文献

滴蜡样骨病——骨蜡油样骨病——罕见病例

Dripping Wax Bone Disease - Melorheostosis - A Rare Case Scenario.

作者信息

Lokesh M, Kumar Sundar Suriya, Gadde Saikrishna

机构信息

Department of Orthopaedic Surgery, Sri Ramachandra Institute of Higher Education and Research, Chennai, Tamil Nadu, India.

Department of Spine Surgery, Sri Ramachandra Institute of Higher Education and Research, Chennai, Tamil Nadu, India.

出版信息

J Orthop Case Rep. 2020 Dec;10(9):94-97. doi: 10.13107/jocr.2020.v10.i09.1918.

Abstract

INTRODUCTION

Melorheostosis is a rare condition affecting the bones and has only been occasionally reported. We herein report a case of melorheostosis affecting left femur and tibia which was diagnosed based on clinical and radiological features and managed with bisphosphonates.

CASE REPORT

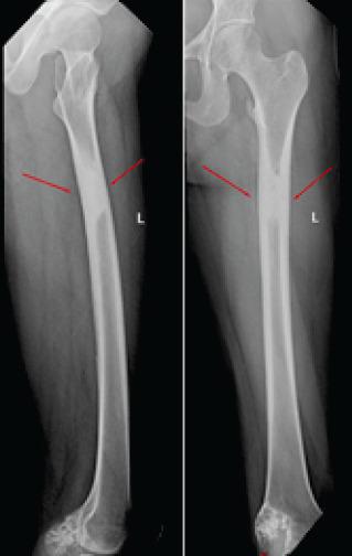
A 28-year-old female patient presented with complaints of pain over left knee and thigh for the past 3 months. To evaluate the cause of pain X-ray and magnetic resonance imaging were done, which revealed characteristic candle dripping wax appearance suggestive of melorheostosis. After arriving at the diagnosis patient was started on nonsteroidal anti-inflammatory drugs and pamidronate which provided symptomatic betterment patient has now been followed up for past 1 year and is symptom free.

CONCLUSION

Melorheostosis is an uncommon cause of a common symptom. Positive clinical and imaging features helped us to arrive at the diagnosis. Proper work up would help in early diagnosis and management. More evidence is needed to illustrate the effectiveness of medical or surgical treatments for patients with this rare diagnosis.

摘要

引言

骨蜡油样骨病是一种影响骨骼的罕见病症,仅有零星报道。我们在此报告一例累及左股骨和胫骨的骨蜡油样骨病病例,该病例根据临床和放射学特征得以诊断,并采用双膦酸盐进行治疗。

病例报告

一名28岁女性患者,过去3个月来一直诉说左膝和大腿疼痛。为评估疼痛原因,进行了X线和磁共振成像检查,结果显示出具有特征性的烛泪样外观,提示为骨蜡油样骨病。确诊后,患者开始服用非甾体类抗炎药和帕米膦酸盐,症状有所改善。患者现已接受了1年的随访,目前无症状。

结论

骨蜡油样骨病是常见症状的罕见病因。积极的临床和影像学特征有助于我们做出诊断。恰当的检查有助于早期诊断和治疗。对于这种罕见病症的患者,需要更多证据来说明药物或手术治疗的有效性。

https://cdn.ncbi.nlm.nih.gov/pmc/blobs/336a/8046449/f0f588aee62f/JOCR-10-94-g001.jpg

文献AI研究员

20分钟写一篇综述,助力文献阅读效率提升50倍。

立即体验

用中文搜PubMed

大模型驱动的PubMed中文搜索引擎

马上搜索

文档翻译

学术文献翻译模型,支持多种主流文档格式。

立即体验