Suppr超能文献

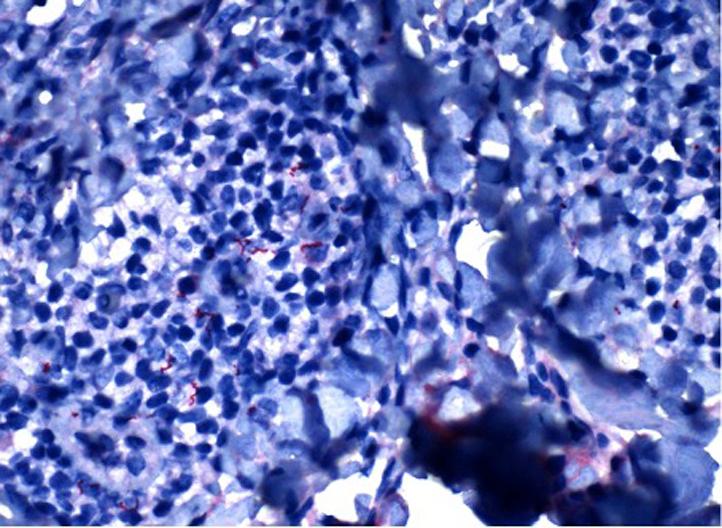
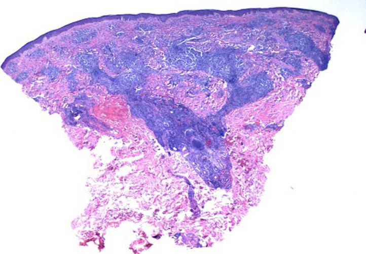
A case of secondary syphilis masquerading as cutaneous lymphoma.

作者信息

Nethers Kevin, Mojica Rafael E, Marks Etan, Burger Robin, Saeed Sadia, Steffes William

机构信息

Kansas City University-Graduate Medical Education Consortium/Advanced Dermatology and Cosmetic Surgery Orlando Dermatology Residency Program, Oviedo, Florida.

Edward Via College of Osteopathic Medicine, Department of Graduate Medical Education, Spartanburg, South Carolina.

出版信息

JAAD Case Rep. 2021 Jun 9;14:17-20. doi: 10.1016/j.jdcr.2021.05.036. eCollection 2021 Aug.

Abstract
摘要
https://cdn.ncbi.nlm.nih.gov/pmc/blobs/c6c3/8253886/79b834492017/gr1.jpg

文献AI研究员

20分钟写一篇综述,助力文献阅读效率提升50倍。

立即体验

用中文搜PubMed

大模型驱动的PubMed中文搜索引擎

马上搜索

文档翻译

学术文献翻译模型,支持多种主流文档格式。

立即体验