Suppr超能文献

低剂量氯氮平相关癫痫发作:一例病例报告及文献综述。

Low-dose clozapine-related seizure: A case report and literature review.

作者信息

Le Dan-Sheng, Su Heng, Liao Zheng-Luan, Yu En-Yan

机构信息

The Second Clinical Medical College, Zhejiang Chinese Medicine University, Hangzhou 310051, Zhejiang Province, China.

Department of Psychiatry, Zhejiang Provincial People's Hospital, Hangzhou 310000, Zhejiang Province, China.

出版信息

World J Clin Cases. 2021 Jul 16;9(20):5611-5620. doi: 10.12998/wjcc.v9.i20.5611.

Abstract

BACKGROUND

Treatment-resistant schizophrenia is a severe form of schizophrenia characterized by poor response to at least two antipsychotic drugs and is typically treated with clozapine. However, clozapine lowers the epileptic threshold, leading to seizures, which are severe side effects of antipsychotics that result in multiple complications. Clozapine-related seizures are generally considered to be dose-dependent and especially rare in the low-dose (150-300 mg/d) clozapine treated population. Due to clinical rarity, little is known about its clinical characteristics and treatment.

CASE SUMMARY

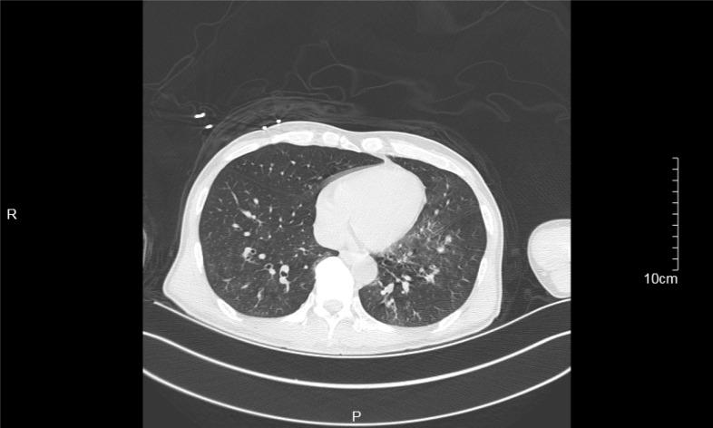
A 62-year-old Chinese man with a 40-year history of treatment-resistant schizophrenia presented to the Emergency Department with symptoms of myoclonus, consciousness disturbance and vomiting after taking 125 mg clozapine. Upon admission, the patient had a suddenly generalized tonic-clonic seizure lasting for about half a minute with persistent disturbance of consciousness, fever, cough and bloody sputum, which was considered to be low-dose clozapine-related seizure. After antiepileptic and multiple anti-infection treatments, the patient was discharged without epileptic or psychotic symptoms.

CONCLUSION

Our aim is to highlight the early prevention and optimal treatment of clozapine-related seizure through case analysis and literature review.

摘要

背景

难治性精神分裂症是精神分裂症的一种严重形式,其特征为对至少两种抗精神病药物反应不佳,通常用氯氮平治疗。然而,氯氮平会降低癫痫阈值,导致癫痫发作,这是抗精神病药物的严重副作用,会引发多种并发症。氯氮平相关的癫痫发作一般被认为与剂量有关,在低剂量(150 - 300毫克/天)氯氮平治疗的人群中尤其罕见。由于临床罕见,对其临床特征和治疗了解甚少。

病例摘要

一名62岁的中国男性,有40年难治性精神分裂症病史,服用125毫克氯氮平后,因肌阵挛、意识障碍和呕吐症状就诊于急诊科。入院时,患者突然出现全身性强直 - 阵挛发作,持续约半分钟,伴有持续的意识障碍、发热、咳嗽和咯血痰,被认为是低剂量氯氮平相关的癫痫发作。经过抗癫痫和多次抗感染治疗后,患者出院时无癫痫或精神病症状。

结论

我们的目的是通过病例分析和文献复习,强调氯氮平相关癫痫发作的早期预防和优化治疗。

https://cdn.ncbi.nlm.nih.gov/pmc/blobs/6508/8281419/349ca79d95d3/WJCC-9-5611-g001.jpg

文献检索

告别复杂PubMed语法,用中文像聊天一样搜索,搜遍4000万医学文献。AI智能推荐,让科研检索更轻松。

立即免费搜索

文件翻译

保留排版,准确专业,支持PDF/Word/PPT等文件格式,支持 12+语言互译。

免费翻译文档

深度研究

AI帮你快速写综述,25分钟生成高质量综述,智能提取关键信息,辅助科研写作。

立即免费体验