Suppr超能文献

精索静脉曲张线圈迁移至右心。

Migration of a Varicocele Coil to the Right Heart.

作者信息

Karia Nina, Balmforth Damian, Lall Kulvinder, Gupta Sandy, Bhattacharyya Sanjeev

机构信息

Echocardiography Laboratory, St Bartholomew's Hospital, London, United Kingdom.

Cardiovascular Surgery, St Bartholomew's Hospital, London, United Kingdom.

出版信息

JACC Case Rep. 2020 Sep 30;2(15):2312-2317. doi: 10.1016/j.jaccas.2020.07.035. eCollection 2020 Dec.

Abstract

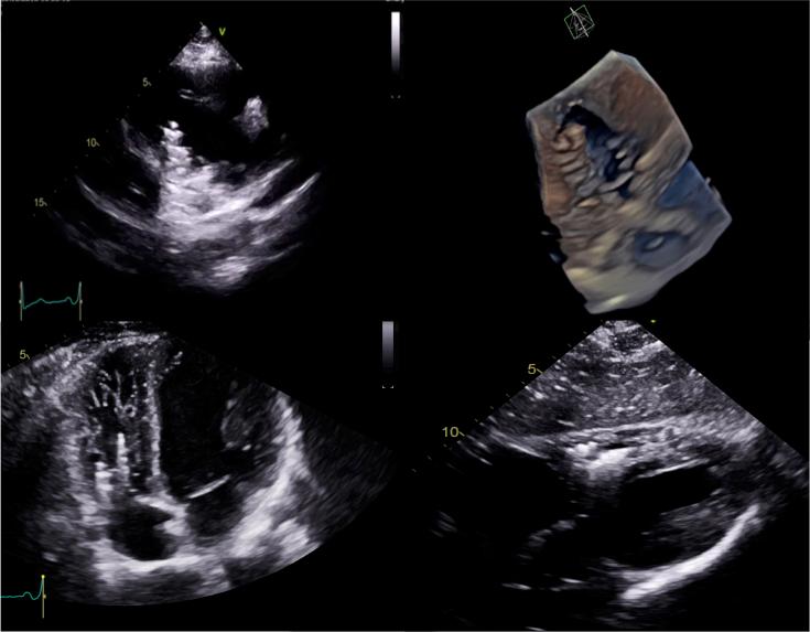
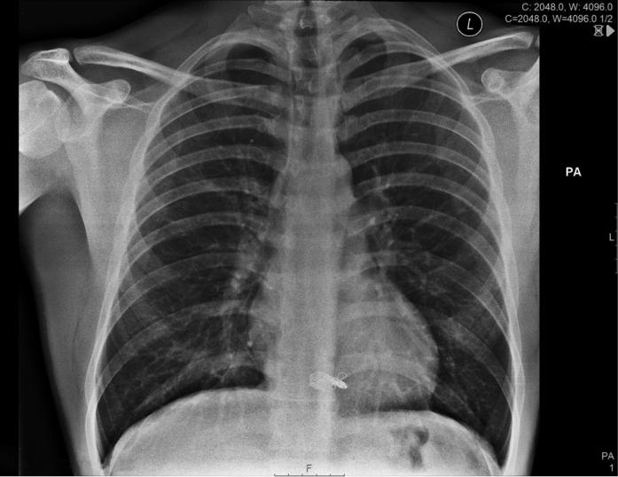
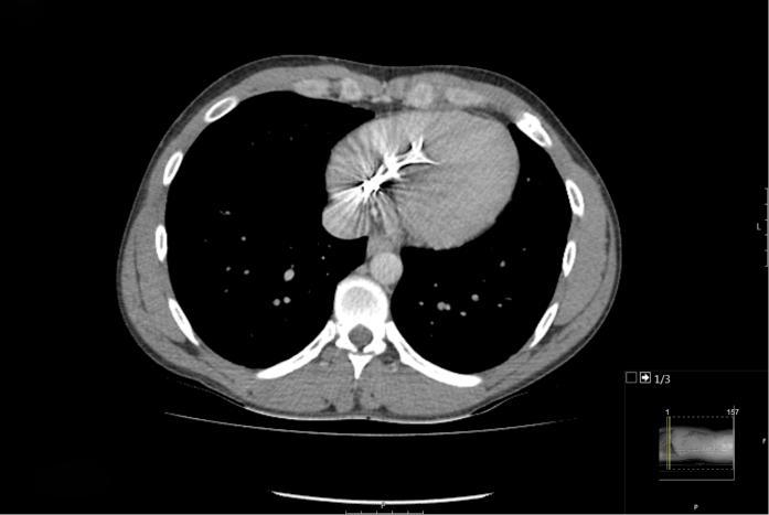
We describe a case of an adult patient with embolization of a varicocele coil (7 × 70 mm) to the right ventricle. We review the multimodality imaging techniques used to identify location and the importance of a multidisciplinary approach in determining management. ().

摘要

我们描述了一例成年患者,其精索静脉曲张线圈(7×70毫米)栓塞至右心室。我们回顾了用于确定位置的多模态成像技术以及多学科方法在确定治疗方案中的重要性。()

https://cdn.ncbi.nlm.nih.gov/pmc/blobs/2ab4/8304537/39e8b967053e/fx1.jpg

文献AI研究员

20分钟写一篇综述,助力文献阅读效率提升50倍。

立即体验

用中文搜PubMed

大模型驱动的PubMed中文搜索引擎

马上搜索

文档翻译

学术文献翻译模型,支持多种主流文档格式。

立即体验