Suppr超能文献

过氧化物酶体增殖物激活受体α缺乏减弱血管平滑肌细胞凋亡并促进其迁移。

Deficiency of peroxisome proliferator-activated receptor α attenuates apoptosis and promotes migration of vascular smooth muscle cells.

作者信息

Duan Yan, Qi Dan, Liu Ye, Song Yanting, Wang Xia, Jiao Shiyu, Li Huihua, Gonzalez Frank J, Qi Yongfen, Xu Qingbo, Du Jie, Qu Aijuan

机构信息

Department of Physiology and Pathophysiology, School of Basic Medical Sciences, Capital Medical University; Key Laboratory of Remodeling-Related Cardiovascular Diseases, Ministry of Education; Beijing, China.

Department of Nutrition and Food Hygiene, School of Public Health, Department of Cardiology, Institute of Cardiovascular Diseases, First Affiliated Hospital of Dalian Medical University, Dalian, China.

出版信息

Biochem Biophys Rep. 2021 Jul 28;27:101091. doi: 10.1016/j.bbrep.2021.101091. eCollection 2021 Sep.

Abstract

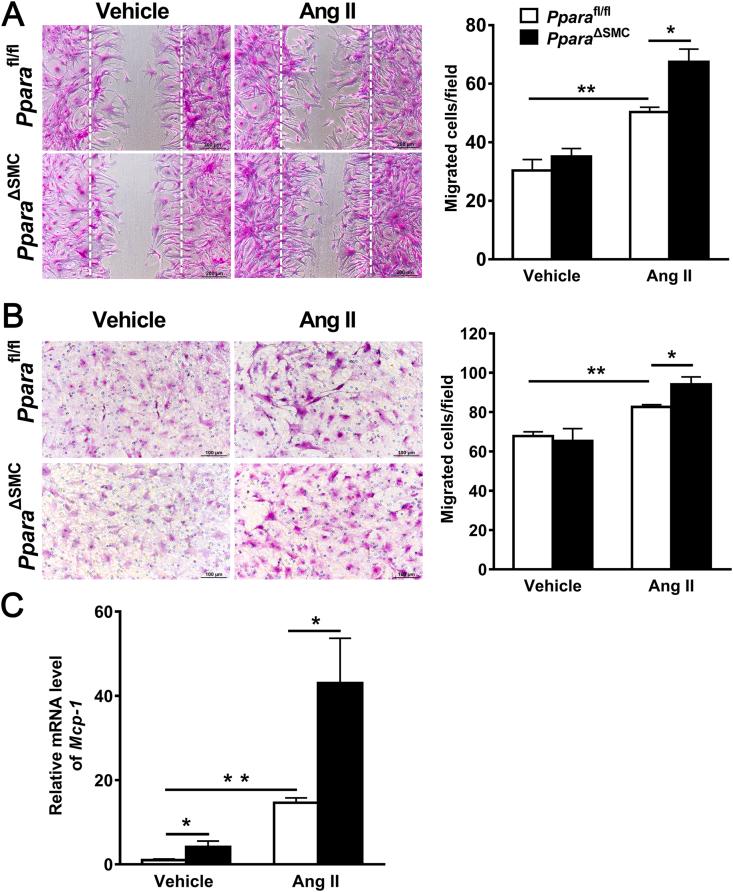
Peroxisome proliferator-activated receptor (PPAR) α is widely expressed in the vasculature and has pleiotropic and lipid-lowering independent effects, but its role in the growth and function of vascular smooth muscle cells (VSMCs) during vascular pathophysiology is still unclear. Herein, VSMC-specific PPARα-deficient mice ( ) were generated by Cre-LoxP site-specific recombinase technology and VSMCs were isolated from mice aorta. PPARα deficiency attenuated VSMC apoptosis induced by angiotensin (Ang) II and hydrogen peroxide, and increased the migration of Ang II-challenged cells.

摘要

过氧化物酶体增殖物激活受体(PPAR)α在脉管系统中广泛表达,具有多效性和降脂独立效应,但其在血管病理生理过程中对血管平滑肌细胞(VSMC)生长和功能的作用仍不清楚。在此,通过Cre-LoxP位点特异性重组酶技术构建了VSMC特异性PPARα缺陷小鼠( ),并从小鼠主动脉中分离出VSMC。PPARα缺陷减弱了血管紧张素(Ang)II和过氧化氢诱导的VSMC凋亡,并增加了Ang II刺激细胞的迁移。

https://cdn.ncbi.nlm.nih.gov/pmc/blobs/6cb3/8339143/df663de708ad/gr1.jpg

文献AI研究员

20分钟写一篇综述,助力文献阅读效率提升50倍。

立即体验

用中文搜PubMed

大模型驱动的PubMed中文搜索引擎

马上搜索

文档翻译

学术文献翻译模型,支持多种主流文档格式。

立即体验