Suppr超能文献

虹鳟鱼和白鲑骨骼肌的组织学和生物化学评价

Histological and biochemical evaluation of skeletal muscle in the two salmonid species Coregonus maraena and Oncorhynchus mykiss.

机构信息

Institute of Muscle Biology and Growth, Leibniz Institute for Farm Animal Biology (FBN), Dummerstorf, Germany.

Mecklenburg-Vorpommern Research Centre for Agriculture and Fisheries (LFA MV) Institute of Fisheries; Research Station Aquaculture, Born, Germany.

出版信息

PLoS One. 2021 Aug 12;16(8):e0255062. doi: 10.1371/journal.pone.0255062. eCollection 2021.

Abstract

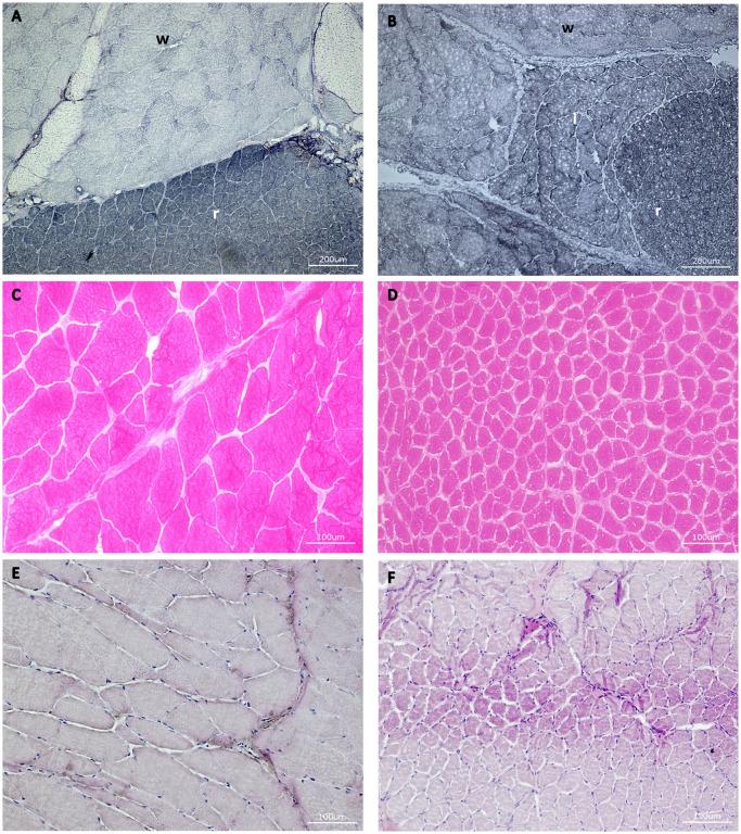
The growth of fishes and their metabolism is highly variable in fish species and is an indicator for fish fitness. Therefore, somatic growth, as a main biological process, is ecologically and economically significant. The growth differences of two closely related salmonids, rainbow trout (Oncorhynchus mykiss) and maraena whitefsh (Coregonus maraena), have not been adequately studied as a comparative study and are therefore insufficiently understood. For this reason, our aim was to examine muscle growth in more detail and provide a first complex insight into the growth and muscle metabolism of these two fish species at slaughter size. In addition to skeletal muscle composition (including nuclear counting and staining of stem and progenitor cells), biochemical characteristics, and enzyme activity (creatine kinase, lactate dehydrogenase, isocitrate dehydrogenase) of rainbow trout and maraena whitefish were determined. Our results indicate that red muscle contains cells with a smaller diameter compared to white muscle and those fibres had more stem and progenitor cells as a proportion of total nuclei. Interestingly, numerous interspecies differences were identified; in rainbow trout muscle RNA content, intermediate fibres and fibre diameter and in whitefish red muscle cross-sectional area, creatine kinase activity were higher compared to the other species at slaughter weight. The proportional reduction in red muscle area, accompanied by an increase in DNA content and a lower activity of creatine kinase, exhibited a higher degree of hypertrophic growth in rainbow trout compared to maraena whitefish, which makes this species particularly successful as an aquaculture species.

摘要

鱼类的生长和代谢在鱼类物种中高度可变,是鱼类适应能力的指标。因此,作为主要的生物学过程,体生长具有生态和经济意义。两种密切相关的鲑鱼(虹鳟鱼和白鲑)的生长差异尚未得到充分研究,因此了解不足。出于这个原因,我们的目的是更详细地检查肌肉生长,并首次深入了解这两种鱼类在屠宰时的生长和肌肉代谢。除了骨骼肌肉组成(包括核计数和干细胞和祖细胞的染色)、生化特性和酶活性(肌酸激酶、乳酸脱氢酶、异柠檬酸脱氢酶)外,还对虹鳟鱼和白鲑的肌肉进行了测定。我们的结果表明,红肌中的细胞直径比白肌小,并且这些纤维中干细胞和祖细胞的比例高于总核数。有趣的是,还发现了许多种间差异;在虹鳟鱼肌肉的 RNA 含量、中间纤维和纤维直径以及白鲑的红肌横截面积、肌酸激酶活性方面,在屠宰体重时均高于其他物种。与白鲑相比,虹鳟鱼的红肌面积比例降低,DNA 含量增加,肌酸激酶活性降低,表现出更高程度的肥大生长,这使得该物种特别适合水产养殖。

https://cdn.ncbi.nlm.nih.gov/pmc/blobs/b586/8360549/ab2ddf543707/pone.0255062.g001.jpg

文献AI研究员

20分钟写一篇综述,助力文献阅读效率提升50倍。

立即体验

用中文搜PubMed

大模型驱动的PubMed中文搜索引擎

马上搜索

文档翻译

学术文献翻译模型,支持多种主流文档格式。

立即体验