Agroya Archana, Khanna Shilpa Sunil, Chhabra Parul, Sheth Ami Mayurkumar, Vattikunta Naresh, Kaur Navneet
Department of Periodontics and Implantology, Sri Sai College of Dental Surgery, Vikarabad, Telangana, India.
Department of Oral and Maxillofacial Surgery, Sri Ramakrishna Dental College and Hospital, Coimbatore, Tamil Nadu, India.
J Pharm Bioallied Sci. 2021 Jun;13(Suppl 1):S861-S864. doi: 10.4103/jpbs.JPBS_550_20. Epub 2021 Jun 5.
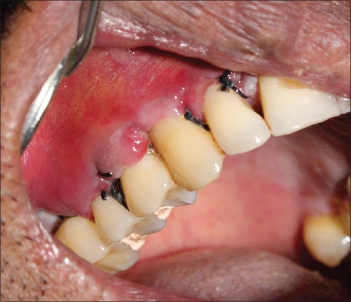
Nowadays, patients are much concerned about esthetics of the oro-facial region. Gingival recession is considered as one of the major esthetic problems creating complex situations by compromising oral esthetics. This can be treated successfully by means of several mucogingival surgical procedures which can be used to accomplish satisfactory root coverage without any loss of interdental soft- and hard-tissue height. Grafts are also very useful in such scenarios. Our case reports the connective tissue graft technique used in the treatment of gingival recession. The objective of this case was to evaluate the efficacy of connective tissue graft (CTG) and also to mention the management of complications on the donor site.
如今,患者非常关注口腔颌面部的美观。牙龈退缩被认为是主要的美观问题之一,它通过损害口腔美观而造成复杂情况。这可以通过多种龈黏膜手术成功治疗,这些手术可用于实现令人满意的牙根覆盖,而不会导致牙间软硬组织高度的任何丧失。在这种情况下,移植也非常有用。我们的病例报告了用于治疗牙龈退缩的结缔组织移植技术。本病例的目的是评估结缔组织移植(CTG)的疗效,并提及供区并发症的处理。