Suppr超能文献

肉芽肿性酒渣鼻与非肉芽肿性酒渣鼻之间Toll样受体2、肥大细胞和神经丝差异的免疫组织化学分析

Immunohistochemical Analysis of Differences of Toll-Like Receptor 2, Mast Cells, and Neurofilaments between Granulomatous Rosacea and Non-Granulomatous Rosacea.

作者信息

Jang Ye Ji, Hong Eun Hye, Park Eun Joo, Kim Kwang Joong, Kim Kwang Ho

机构信息

Department of Dermatology, Hallym University Sacred Heart Hospital, Anyang, Korea.

出版信息

Indian J Dermatol. 2021 Jul-Aug;66(4):343-346. doi: 10.4103/ijd.IJD_18_20.

Abstract

BACKGROUND

Granulomatous rosacea is a distinct variant of rosacea because of its unique histopatholiogic findings. However, the pathogenesis of granulomatous rosacea has not yet been clearly demonstrated.

AIMS AND OBJECTIVES

The aim of this study was to investigate the expression of toll-like receptor 2, mast cells, and neurofilaments in the granulomatous rosacea compared with the non-granulomatous rosacea.

MATERIALS AND METHODS

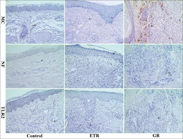
Biopsy specimens were obtained from 12 patients with erythematotelangiectatic rosacea, 11 patients with granulomatous rosacea, and 11 control patients. Biopsy tissue blocks were subjected to immunohistochemical staining using antibodies against toll-like receptor 2, mast cells, and neurofilaments.

RESULTS

In granulomatous rosacea, the expression of mast cells increased significantly, compared to the erythematotelangiectatic rosacea and the control group (-value = 0.001 and 0.013, respectively). Additionally, the expression of toll-like receptor 2 in the granulomatous rosacea group was higher than that in the control group (-value = 0.04).

CONCLUSION

The results of this study suggest that the increased expression of mast cells may be a sign of chronic, later stage of granulomatous rosacea compared to the erythematotelangiectatic rosacea. The increased expression of toll-like receptor 2 suggests that cathelicidin-induced neuroimmune pathogenesis also contributes to the pathophysiology of granulomatous rosacea.

摘要

背景

肉芽肿性酒渣鼻是酒渣鼻的一种独特变体,因其具有独特的组织病理学表现。然而,肉芽肿性酒渣鼻的发病机制尚未得到明确证实。

目的

本研究旨在调查与非肉芽肿性酒渣鼻相比,肉芽肿性酒渣鼻中Toll样受体2、肥大细胞和神经丝的表达情况。

材料与方法

从12例红斑毛细血管扩张性酒渣鼻患者、11例肉芽肿性酒渣鼻患者和11例对照患者中获取活检标本。活检组织块使用抗Toll样受体2、肥大细胞和神经丝的抗体进行免疫组织化学染色。

结果

与红斑毛细血管扩张性酒渣鼻和对照组相比,肉芽肿性酒渣鼻中肥大细胞的表达显著增加(P值分别为0.001和0.013)。此外,肉芽肿性酒渣鼻组中Toll样受体2的表达高于对照组(P值 = 0.04)。

结论

本研究结果表明,与红斑毛细血管扩张性酒渣鼻相比,肥大细胞表达增加可能是肉芽肿性酒渣鼻慢性后期的一个标志。Toll样受体2表达增加表明,抗菌肽诱导的神经免疫发病机制也参与了肉芽肿性酒渣鼻的病理生理过程。

https://cdn.ncbi.nlm.nih.gov/pmc/blobs/50c4/8530054/80a9d41b13eb/IJD-66-343-g001.jpg

文献AI研究员

20分钟写一篇综述,助力文献阅读效率提升50倍。

立即体验

用中文搜PubMed

大模型驱动的PubMed中文搜索引擎

马上搜索

文档翻译

学术文献翻译模型,支持多种主流文档格式。

立即体验