Suppr超能文献

头颈部腺样囊性癌根治性放疗与术后放疗的临床结果比较:根治性放疗能否成为一种治疗选择?

Comparison of Clinical Outcomes of Definitive and Postoperative Radiotherapy for Adenoid Cystic Carcinoma of the Head and Neck: Can Definitive Radiotherapy Be a Treatment Option?

作者信息

Mizoguchi Nobutaka, Kano Kio, Shima Satoshi, Tsuchida Keisuke, Takakusagi Yosuke, Serizawa Itsuko, Akahane Keiko, Kawahara Masahiro, Yoshida Manatsu, Kitani Yuka, Hashimoto Kaori, Furukawa Madoka, Kamada Tadashi, Katoh Hiroyuki, Yoshida Daisaku, Shirai Katsuyuki

机构信息

Department of Radiation Oncology, Kanagawa Cancer Center, Yokohama 241-8515, Japan.

Department of Radiology, Jichi Medical University Saitama Medical Center, Saitama 330-8503, Japan.

出版信息

Cancers (Basel). 2021 Nov 2;13(21):5507. doi: 10.3390/cancers13215507.

Abstract

BACKGROUND

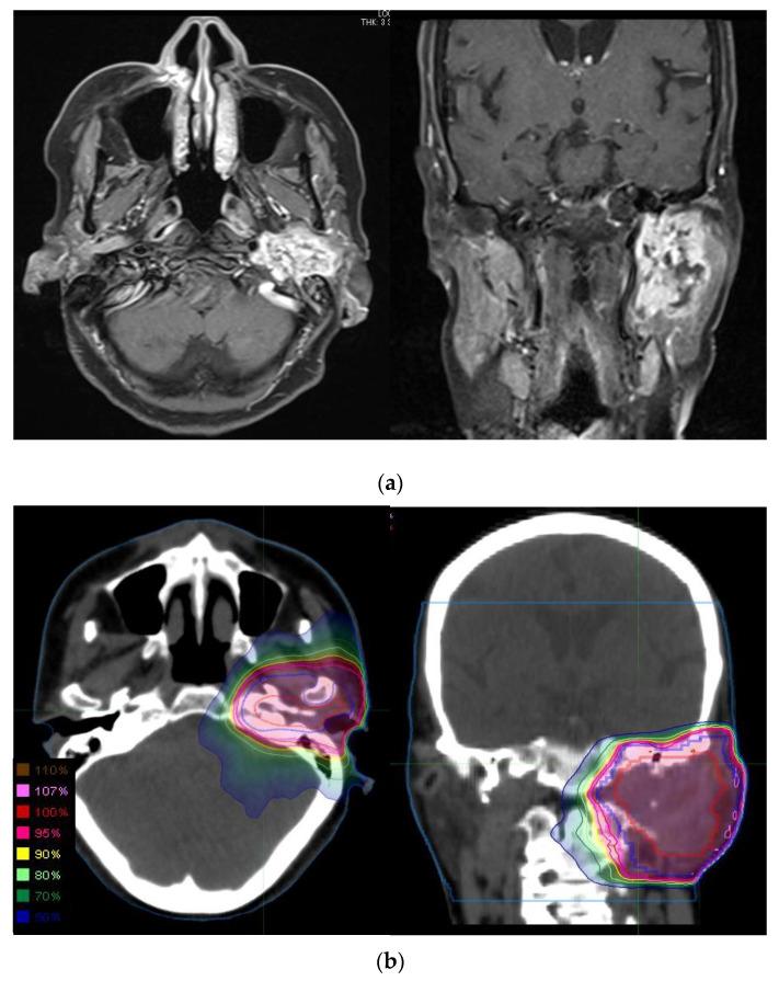
The standard treatment for adenoid cystic carcinoma of the head and neck is surgical resection followed by postoperative radiotherapy (PORT). Currently, definitive radiotherapy (defRT) is considered an inadequate treatment; however, its data are based on studies using classical radiotherapy techniques. Therefore, the therapeutic effects of current radiotherapy techniques have not been adequately evaluated, and it may have underestimated the efficacy of defRT.

METHODS

We retrospectively analyzed 44 adenoid cystic carcinoma patients treated with radiotherapy based on modern treatment techniques from 1993 to 2017.

RESULTS

Twenty-four patients underwent PORT and 20 patients underwent defRT. The 5-year overall survival rates for patients treated with PORT and defRT were 85.3% and 79.7%, respectively. The 5-year local control rates were 82.5% and 83.1%, respectively. There were no statistically significant differences in the overall survival and local control of patients treated with PORT and defRT ( = 0.4392 and = 0.0904, respectively).

CONCLUSION

Our results show that defRT is comparable to surgical resection followed by PORT with respect to overall survival and local control. The results suggest that defRT can be an effective treatment option for adenoid cystic carcinoma of the head and neck.

摘要

背景

头颈部腺样囊性癌的标准治疗方法是手术切除后进行术后放疗(PORT)。目前,根治性放疗(defRT)被认为是一种不充分的治疗方法;然而,其数据基于使用传统放疗技术的研究。因此,当前放疗技术的治疗效果尚未得到充分评估,可能低估了根治性放疗的疗效。

方法

我们回顾性分析了1993年至2017年期间采用现代治疗技术接受放疗的44例腺样囊性癌患者。

结果

24例患者接受了PORT,20例患者接受了defRT。接受PORT和defRT治疗的患者5年总生存率分别为85.3%和79.7%。5年局部控制率分别为82.5%和83.1%。接受PORT和defRT治疗的患者在总生存和局部控制方面无统计学显著差异(分别为 = 0.4392和 = 0.0904)。

结论

我们的结果表明,在总生存和局部控制方面,defRT与手术切除后进行PORT相当。结果表明,defRT可以成为头颈部腺样囊性癌的一种有效治疗选择。

https://cdn.ncbi.nlm.nih.gov/pmc/blobs/6efd/8582871/331f1d890d2b/cancers-13-05507-g001.jpg

文献AI研究员

20分钟写一篇综述,助力文献阅读效率提升50倍。

立即体验

用中文搜PubMed

大模型驱动的PubMed中文搜索引擎

马上搜索

文档翻译

学术文献翻译模型,支持多种主流文档格式。

立即体验