Suppr超能文献

腰神经带状疱疹性神经炎:临床、磁共振成像和电诊断评估。

Zoster neuritis of lumbar nerves: A clinical, magnetic resonance imaging, and electrodiagnostic evaluation.

机构信息

Department of Neurology, Nanavati Superspeciality Hospital, Mumbai, Maharashtra, India.

Department of Radiology, Nanavati Superspeciality Hospital, Mumbai, Maharashtra, India.

出版信息

J Postgrad Med. 2022 Jan-Mar;68(1):48-50. doi: 10.4103/jpgm.JPGM_110_21.

Abstract

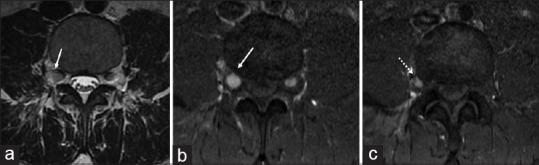
Human herpesviruses, particularly the varicella-zoster virus, are notorious for affecting the central nervous system, especially when secondarily reactivated from a latent state. We present one such case of zoster radiculitis with an ensemble of typical dermatological and neurological features diagnosed on imaging and cerebrospinal fluid (CSF) studies and encourage the consideration of viral (zoster) neuritis as a differential in patients presenting with radicular pain.

摘要

人类疱疹病毒,特别是水痘-带状疱疹病毒,以影响中枢神经系统而臭名昭著,尤其是从潜伏状态再次激活时。我们介绍了一例带状疱疹神经根炎病例,其具有典型的皮肤病学和神经病学特征,通过影像学和脑脊液(CSF)研究诊断,并鼓励在出现神经根痛的患者中考虑病毒性(带状疱疹)神经炎作为鉴别诊断。

https://cdn.ncbi.nlm.nih.gov/pmc/blobs/f92f/8860118/d66b8880dea3/JPGM-68-48-g001.jpg

文献AI研究员

20分钟写一篇综述,助力文献阅读效率提升50倍。

立即体验

用中文搜PubMed

大模型驱动的PubMed中文搜索引擎

马上搜索

文档翻译

学术文献翻译模型,支持多种主流文档格式。

立即体验