Dellomo Anna J, Abbotts Rachel, Eberly Christian L, Karbowski Mariusz, Baer Maria R, Kingsbury Tami J, Rassool Feyruz V
Department of Radiation Oncology, University of Maryland School of Medicine, Baltimore, MD 21201, USA; University of Maryland Marlene and Stewart Greenebaum Comprehensive Cancer Center, Baltimore, MD 21201, USA.
Center for Stem Cell Biology & Regenerative Medicine, University of Maryland School of Medicine, Baltimore, MD, 21201, USA.
Transl Oncol. 2022 Jan;15(1):101283. doi: 10.1016/j.tranon.2021.101283. Epub 2021 Nov 19.
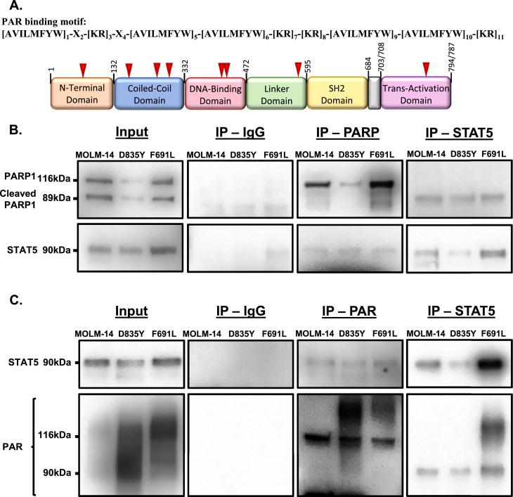
Signal transducer and activator of transcription 5 (STAT5) signaling plays a pathogenic role in both hematologic malignancies and solid tumors. In acute myeloid leukemia (AML), internal tandem duplications of fms-like tyrosine kinase 3 (FLT3-ITD) constitutively activate the FLT3 receptor, producing aberrant STAT5 signaling, driving cell survival and proliferation. Understanding STAT5 regulation may aid development of new treatment strategies in STAT5-activated cancers including FLT3-ITD AML. Poly ADP-ribose polymerase (PARP1), upregulated in FLT3-ITD AML, is primarily known as a DNA repair factor, but also regulates a diverse range of proteins through PARylation. Analysis of STAT5 protein sequence revealed putative PARylation sites and we demonstrate a novel PARP1 interaction and direct PARylation of STAT5 in FLT3-ITD AML. Moreover, PARP1 depletion and PARylation inhibition decreased STAT5 protein expression and activity via increased degradation, suggesting that PARP1 PARylation of STAT5 at least in part potentiates aberrant signaling by stabilizing STAT5 protein in FLT3-ITD AML. Importantly for translational significance, PARPis are cytotoxic in numerous STAT5-activated cancer cells and are synergistic with tyrosine kinase inhibitors (TKI) in both TKI-sensitive and TKI-resistant FLT3-ITD AML. Therefore, PARPi may have therapeutic benefit in STAT5-activated and therapy-resistant leukemias and solid tumors.
信号转导及转录激活因子5(STAT5)信号传导在血液系统恶性肿瘤和实体瘤中均发挥致病作用。在急性髓系白血病(AML)中,Fms样酪氨酸激酶3的内部串联重复(FLT3-ITD)持续激活FLT3受体,产生异常的STAT5信号传导,驱动细胞存活和增殖。了解STAT5的调控机制可能有助于开发针对包括FLT3-ITD AML在内的STAT5激活型癌症的新治疗策略。聚(ADP-核糖)聚合酶1(PARP1)在FLT3-ITD AML中上调,它主要作为一种DNA修复因子为人所知,但也通过聚(ADP-核糖)化修饰来调节多种蛋白质。对STAT5蛋白序列的分析揭示了潜在的聚(ADP-核糖)化修饰位点,并且我们证明了在FLT3-ITD AML中PARP1与STAT5存在新的相互作用以及对STAT5的直接聚(ADP-核糖)化修饰。此外,PARP1的缺失和聚(ADP-核糖)化抑制通过增加降解降低了STAT5蛋白的表达和活性,这表明在FLT3-ITD AML中,PARP1对STAT5的聚(ADP-核糖)化修饰至少部分地通过稳定STAT5蛋白来增强异常信号传导。对于转化医学意义而言重要的是,PARP抑制剂在众多STAT5激活型癌细胞中具有细胞毒性,并且在对酪氨酸激酶抑制剂(TKI)敏感和耐药的FLT3-ITD AML中均与TKI具有协同作用。因此,PARP抑制剂可能对STAT5激活型及治疗耐药的白血病和实体瘤具有治疗益处。