Suppr超能文献

子宫平滑肌腺肌瘤样肿瘤:病例报告及文献复习。

Leiomyoadenomatoid Tumors of the Uterus: A Case Report and Literature Review.

机构信息

Department of Laboratory Medicine & Pathology, King Abdulaziz Medical City, Jeddah, Saudi Arabia.

Department of Laboratory Medicine & Pathology, East Jeddah Hospital, Ministry of Health, Jeddah, Saudi Arabia.

出版信息

Am J Case Rep. 2021 Dec 7;22:e934012. doi: 10.12659/AJCR.934012.

Abstract

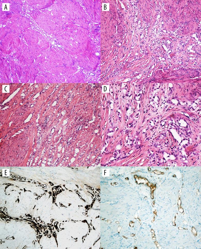
BACKGROUND An adenomatoid tumor is a benign neoplasm that originates in the mesothelial lining, commonly present in the male and female genital tracts. The lieomyoadenomatoid tumor (LMAT) is rare and considered an adenomatoid variant, characterized microscopically by prominent smooth muscle proliferation within an adenomatoid tumor. Areas of pseudo-glandular infiltration and tubular and slit-like spaces can mimic metastatic carcinoma or malignant tumors. Most cases of LMAT were incidentally discovered microscopically after an impression of leiomyoma. Eighteen cases have been reported in studies published in English. CASE REPORT We present a case of a 35-year-old woman who experienced recurrent vaginal bleeding and underwent a myomectomy. Microscopically, the mass showed smooth muscle proliferation in fascicles with areas of tubular, slit-like spaces, and gland-like areas, which showed reactivity for Wilms tumor-1 and calretinin by an immunohistochemistry study. The final pathology examination showed a 9-cm LMAT, which is the largest size ever reported to the best of our knowledge. There was no recurrence or other symptoms at the 2-year follow-up. CONCLUSIONS An LMAT should be considered in the differential diagnosis of leiomyomas that present areas of pseudo-infiltrative glands and slit-like spaces, which can lead to misdiagnosis as a malignant tumor.

摘要

背景

腺瘤样肿瘤是一种起源于间皮细胞衬里的良性肿瘤,常见于男性和女性生殖道。平滑肌腺肌瘤样肿瘤(LMAT)较为罕见,被认为是腺瘤样肿瘤的一种变体,其特征为在腺瘤样肿瘤中存在明显的平滑肌增生。假浸润性腺体和管状及裂隙样空间区域可模拟转移性癌或恶性肿瘤。大多数 LMAT 是在偶然发现的平滑肌瘤的显微镜下发现的。在已发表的英文研究中,有 18 例报道。

病例报告

我们报告了一名 35 岁女性的病例,她经历了反复阴道出血并接受了子宫肌瘤切除术。显微镜下,肿块显示出束状平滑肌增生,伴有管状、裂隙样空间和腺体样区域,免疫组织化学研究显示 Wilms 瘤-1 和钙视网膜蛋白呈阳性反应。最终的病理检查显示一个 9 厘米的 LMAT,这是我们所知的最大尺寸。在 2 年的随访中没有复发或其他症状。

结论

在出现假浸润性腺体和裂隙样空间的平滑肌瘤的鉴别诊断中,应考虑 LMAT,这可能导致误诊为恶性肿瘤。

https://cdn.ncbi.nlm.nih.gov/pmc/blobs/45fb/8667630/97ef32ff9d25/amjcaserep-22-e934012-g001.jpg

文献AI研究员

20分钟写一篇综述,助力文献阅读效率提升50倍。

立即体验

用中文搜PubMed

大模型驱动的PubMed中文搜索引擎

马上搜索

文档翻译

学术文献翻译模型,支持多种主流文档格式。

立即体验