Suppr超能文献

Tip110表达促进HEXIM1和pTEFb从7SK核糖核蛋白复合物的释放,涉及细胞内氧化还原水平的调节。

Tip110 Expression Facilitates the Release of HEXIM1 and pTEFb from the 7SK Ribonucleoprotein Complex Involving Regulation of the Intracellular Redox Level.

作者信息

Liu Ying, Li Lu, Timani Khalid, White Carl, He Johnny J

机构信息

1Department of Microbiology and Immunology.

2Center for Cancer Cell Biology, Immunology and Infection, and.

出版信息

Aging Dis. 2021 Dec 1;12(8):2113-2124. doi: 10.14336/AD.2021.0528. eCollection 2021 Dec.

Abstract

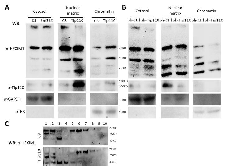
HIV-1 Tat-interacting protein of 110 kDa (Tip110; p110/SART3) has been identified to be important for HIV gene transcription and several host gene expression. In this study, we showed that Tip110 was present in the 7SK snRNP through direct binding to MEPCE, a component of the 7SK snRNP complex. In addition, we found a positive association between Tip110 expression, change of HEXIM1 from dimer/oligomer to monomer, and release of HEXIM1 and P-TEFb from the 7SK snRNP complex. A similar association was also noted specifically in nuclear matrix as well as in chromatin where the free HEXIM1 and 7SK snRNP-bound HEXIM1 are located. Moreover, we demonstrated that Tip110 expression was linked to the glutathione metabolic pathway and the intracellular redox level, which in turn regulated HEXIM1 dimerization/oligomerization. Lastly, we performed the FRET microscopic analysis and confirmed the direct relationship between Tip110 expression and HEXIM1 dimerization/oligomerization . Taken together, these results identified a new mechanism governing HEXIM1 dimerization/oligomerization and the release of HEXIM1 and P-TEFb from the 7SK snRNP complex. These results also yield new insights to the roles of Tip110 in HIV gene transcription and replication.

摘要

110千道尔顿的HIV-1反式激活因子相互作用蛋白(Tip110;p110/SART3)已被确定对HIV基因转录和几种宿主基因表达很重要。在本研究中,我们表明Tip110通过直接与7SK snRNP复合物的一个组分MEPCE结合而存在于7SK snRNP中。此外,我们发现Tip110表达、HEXIM1从二聚体/寡聚体转变为单体以及HEXIM1和P-TEFb从7SK snRNP复合物中释放之间存在正相关。在游离HEXIM1和与7SK snRNP结合的HEXIM1所在的核基质以及染色质中也特别注意到了类似的关联。此外,我们证明Tip110表达与谷胱甘肽代谢途径和细胞内氧化还原水平相关,进而调节HEXIM1二聚化/寡聚化。最后,我们进行了荧光共振能量转移显微镜分析,并证实了Tip110表达与HEXIM1二聚化/寡聚化之间的直接关系。综上所述,这些结果确定了一种控制HEXIM1二聚化/寡聚化以及HEXIM1和P-TEFb从7SK snRNP复合物中释放的新机制。这些结果也为Tip110在HIV基因转录和复制中的作用提供了新的见解。

https://cdn.ncbi.nlm.nih.gov/pmc/blobs/a2b4/8612609/38b5d936ad4d/ad-12-8-2113-g1.jpg

文献AI研究员

20分钟写一篇综述,助力文献阅读效率提升50倍。

立即体验

用中文搜PubMed

大模型驱动的PubMed中文搜索引擎

马上搜索

文档翻译

学术文献翻译模型,支持多种主流文档格式。

立即体验