Suppr超能文献

全身麻醉诱导期呕吐检出食管贲门失弛缓症:一例报告

Esophageal achalasia detected by vomiting during induction of general anesthesia: a case report.

作者信息

Abe Kyoko, Kimura Tetsu, Niiyama Yukitoshi

机构信息

Department of Anesthesia and Intensive Care Medicine, Akita University Hospital, Hondo 1-1-1, Akita city, Akita, 010-8543, Japan.

Department of Anesthesia and Intensive Care Medicine, Akita University Graduate School of Medicine, Akita, Japan.

出版信息

JA Clin Rep. 2021 Dec 10;7(1):84. doi: 10.1186/s40981-021-00488-y.

Abstract

BACKGROUND

Esophageal achalasia is a rare disease with a high risk of aspiration during anesthesia induction. Here, we describe our experience involving a case of undiagnosed esophageal achalasia with profuse vomiting during anesthesia induction.

CASE PRESENTATION

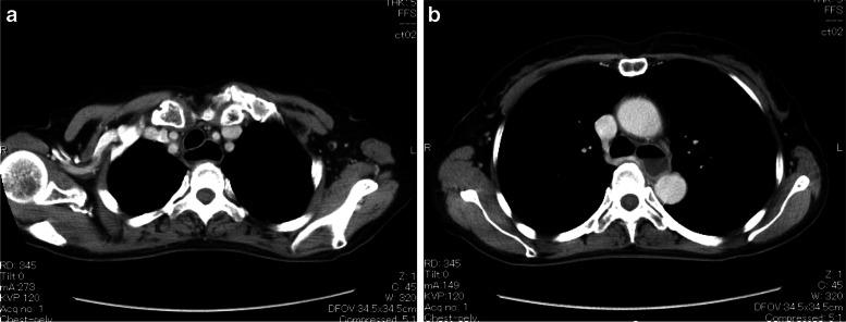
A 58-year-old woman was scheduled for orthopedic surgery under general anesthesia. She vomited a large amount of watery contents during anesthesia induction, and planned surgery was postponed. After recovery from anesthesia, she informed us that she usually had to drink a large amount of water to get food into her stomach and purged watery vomit every night before sleep. However, she attributed it to her constitutional problem, not to a specific disease. She was subsequently diagnosed with esophageal achalasia and underwent Heller myotomy with Dor fundoplication before her re-scheduled orthopedic surgery.

CONCLUSIONS

A detailed history of dysphagia and regurgitation should be taken in preoperative examinations to prevent unexpected aspiration due to undiagnosed achalasia.

摘要

背景

食管贲门失弛缓症是一种罕见疾病,在麻醉诱导期间存在较高的误吸风险。在此,我们描述了一例未确诊的食管贲门失弛缓症患者在麻醉诱导期间发生大量呕吐的病例。

病例介绍

一名58岁女性计划在全身麻醉下进行骨科手术。她在麻醉诱导期间呕吐出大量水样内容物,计划中的手术被推迟。麻醉苏醒后,她告知我们她通常需要喝大量的水才能将食物送入胃中,并且每晚睡前都会吐出水样呕吐物。然而,她将此归因于自身的体质问题,而非特定疾病。随后她被诊断为食管贲门失弛缓症,并在重新安排的骨科手术前接受了贲门肌切开术加Dor胃底折叠术。

结论

术前检查应详细询问吞咽困难和反流病史,以预防因未确诊的贲门失弛缓症导致的意外误吸。

https://cdn.ncbi.nlm.nih.gov/pmc/blobs/d359/8660935/df2dc2c71cf0/40981_2021_488_Fig1_HTML.jpg

文献AI研究员

20分钟写一篇综述,助力文献阅读效率提升50倍。

立即体验

用中文搜PubMed

大模型驱动的PubMed中文搜索引擎

马上搜索

文档翻译

学术文献翻译模型,支持多种主流文档格式。

立即体验