Suppr超能文献

血液循环紊乱作为感染……的犬类可能的死亡原因

Disorders in Blood Circulation As a Probable Cause of Death in Dogs Infected with .

作者信息

Zygner Wojciech, Rodo Anna, Gójska-Zygner Olga, Górski Paweł, Bartosik Justyna, Kotomski Grzegorz

机构信息

Division of Parasitology and Parasitic Diseases, Department of Preclinical Sciences, Institute of Veterinary Medicine, Warsaw University of Life Sciences - SGGW, 02-786 Warsaw, Poland.

Division of Animal Pathology, Department of Pathology and Veterinary Diagnostics, Institute of Veterinary Medicine, Warsaw University of Life Sciences - SGGW, 02-766 Warsaw, Poland.

出版信息

J Vet Res. 2021 Jul 5;65(3):277-285. doi: 10.2478/jvetres-2021-0036. eCollection 2021 Sep.

Abstract

INTRODUCTION

The purpose of the study was to investigate post-mortem changes in dogs infected with and to establish the probable cause of death of the affected animals.

MATERIAL AND METHODS

Cadavers of six dogs that did not survive babesiosis were collected. Necropsies were performed and samples of various organs were collected for histological examination.

RESULTS

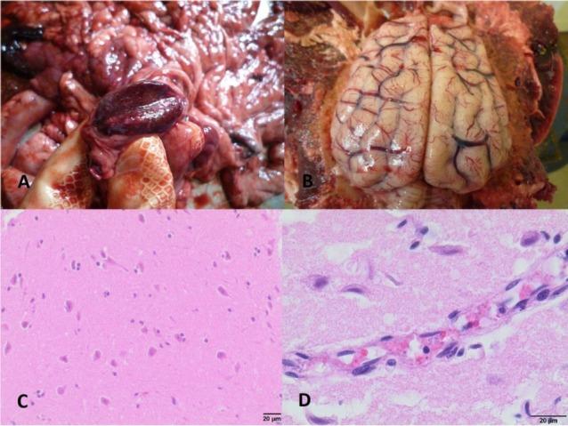
Necropsies and histological examinations revealed congestion and oedemata in various organs. Most of the dogs had ascites, hydrothorax or hydropericardium, pulmonary oedema, pulmonary, renal, hepatic, and cerebral congestion, and necrosis of cardiomyocytes.

CONCLUSION

These results suggested disorders in blood circulation as the most probable cause of death. However, the pulmonary inflammatory response and cerebral babesiosis observed in some of these dogs could also be considered possible causes of death. This study also showed a possible role for renal congestion in the development of renal hypoxia and azotaemia in canine babesiosis.

摘要

引言

本研究的目的是调查感染巴贝斯虫病的犬只的死后变化,并确定受影响动物的可能死因。

材料与方法

收集了六只未从巴贝斯虫病中存活下来的犬只的尸体。进行了尸检,并采集了各种器官的样本进行组织学检查。

结果

尸检和组织学检查显示各器官有充血和水肿。大多数犬只有腹水、胸腔积液或心包积液、肺水肿、肺、肾、肝和脑充血以及心肌细胞坏死。

结论

这些结果表明血液循环紊乱是最可能的死因。然而,在其中一些犬只中观察到的肺部炎症反应和脑巴贝斯虫病也可被视为可能的死因。本研究还表明肾充血在犬巴贝斯虫病肾缺氧和氮血症的发展中可能起作用。

https://cdn.ncbi.nlm.nih.gov/pmc/blobs/8c30/8643085/1f1d75d3fd32/jvetres-65-277-g001.jpg

文献AI研究员

20分钟写一篇综述,助力文献阅读效率提升50倍。

立即体验

用中文搜PubMed

大模型驱动的PubMed中文搜索引擎

马上搜索

文档翻译

学术文献翻译模型,支持多种主流文档格式。

立即体验