Suppr超能文献

Double aortic arch: a rare cause of stridor in infants.

作者信息

Aladham Youssef, Bonduelle Quentin, Yaro John, Ahmed Omar

机构信息

Department of Otolaryngology, University Hospitals of Derby and Burton, Derby, UK.

出版信息

J Surg Case Rep. 2021 Dec 24;2021(12):rjab567. doi: 10.1093/jscr/rjab567. eCollection 2021 Dec.

Abstract

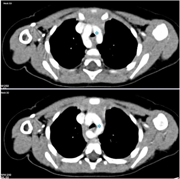
Double aortic arch is the most common vascular ring anomaly. It usually presents with symptoms related to tracheal and oesophageal compression. The constricting vascular ring may lead to stridor in infants and young children, which could be mistaken for upper respiratory tract infections or foreign body aspiration. It is therefore prudent to have a high index of suspicion when evaluating cases of paediatric stridor. Contrast-enhanced computed tomography and cardiac magnetic resonance imaging are the diagnostic modalities of choice to investigate vascular rings. We report a case of a stridulous infant with a double aortic arch.

摘要
https://cdn.ncbi.nlm.nih.gov/pmc/blobs/f917/8711860/d2874163e39a/rjab567f1.jpg

文献AI研究员

20分钟写一篇综述,助力文献阅读效率提升50倍。

立即体验

用中文搜PubMed

大模型驱动的PubMed中文搜索引擎

马上搜索

文档翻译

学术文献翻译模型,支持多种主流文档格式。

立即体验