Suppr超能文献

生物素-硫胺素反应性基底节疾病:一例报告。

Biotin-thiamine-responsive basal ganglia disease: A case report.

作者信息

Majumdar Shamaita, Salamon Noriko

机构信息

Department of Radiological Sciences, University of California Los Angeles, 757 Westwood Plaza, Suite 1638, Los Angeles, CA 90095, USA.

出版信息

Radiol Case Rep. 2021 Dec 28;17(3):753-758. doi: 10.1016/j.radcr.2021.12.029. eCollection 2022 Mar.

Abstract

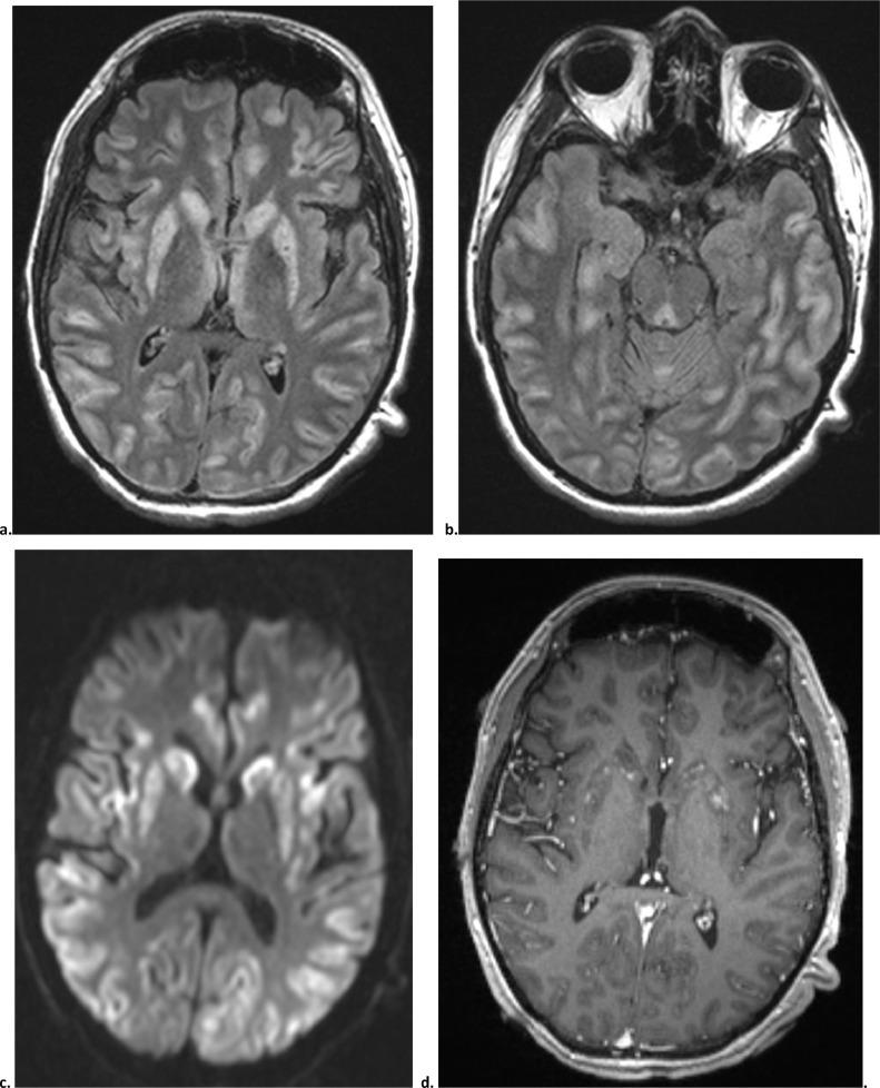
Biotin-Thiamine-Responsive Basal Ganglia Disease is an extremely rare autosomal recessive neurometabolic disorder characterized by recurrent waxing and waning episodes of subacute encephalopathy and seizures. High dose biotin and thiamine administration has been shown to improve symptoms within days, and the symptoms may reappear rapidly if supplementation is discontinued. Here we present a case of a 20-year-old male with classical clinical and imaging findings of Biotin-Thiamine-Responsive Basal Ganglia Disease, with a 12-year delay in diagnosis, finally diagnosed after presenting at our institution based on imaging and subsequent reexamination of exome sequencing. In this report, we review the classic imaging findings in this disease and examine why making the diagnosis can be extremely challenging due to its wide differential. Both clinically and radiographically, this condition demonstrates significant overlap with a vast array of disease entities, ranging from viral or autoimmune encephalitis to metabolic disorders. Finally, we discuss the various negative prognostic predictors described in the literature, several of which were observed in this patient's clinical course.

摘要

生物素-硫胺素反应性基底节疾病是一种极其罕见的常染色体隐性神经代谢障碍疾病,其特征为亚急性脑病和癫痫发作反复发作,症状呈进行性加重和缓解。已证实,高剂量生物素和硫胺素治疗可在数天内改善症状,若停止补充,症状可能迅速复发。本文报告一例20岁男性患者,具有生物素-硫胺素反应性基底节疾病的典型临床和影像学表现,诊断延迟12年,最终在我院就诊时,根据影像学检查及随后对外显子组测序结果的复查得以确诊。在本报告中,我们回顾了该疾病的经典影像学表现,并探讨了由于其鉴别诊断范围广泛,为何做出诊断极具挑战性。在临床和影像学方面,该疾病与从病毒性或自身免疫性脑炎到代谢紊乱等众多疾病实体存在显著重叠。最后,我们讨论了文献中描述的各种不良预后预测因素,其中一些在该患者的临床病程中有所观察。

https://cdn.ncbi.nlm.nih.gov/pmc/blobs/6a14/8717433/66148894816e/gr1.jpg

文献AI研究员

20分钟写一篇综述,助力文献阅读效率提升50倍。

立即体验

用中文搜PubMed

大模型驱动的PubMed中文搜索引擎

马上搜索

文档翻译

学术文献翻译模型,支持多种主流文档格式。

立即体验