Suppr超能文献

罕见遗传综合征与口腔异常:文献综述及病例系列报道并提出新的分类建议

Rare Genetic Syndromes and Oral Anomalies: A Review of the Literature and Case Series with a New Classification Proposal.

作者信息

Salerno Claudia, D'Avola Valeria, Oberti Luca, Almonte Elena, Bazzini Elena Maria, Tartaglia Gianluca Martino, Cagetti Maria Grazia

机构信息

Department of Biomedical, Surgical and Dental Science, University of Milan, Via Beldiletto 1, 20142 Milan, Italy.

UOC Maxillo-Facial Surgery and Dentistry Fondazione IRCCS Cà Granda, Ospedale Maggiore Policlinico, University of Milan, 20100 Milan, Italy.

出版信息

Children (Basel). 2021 Dec 26;9(1):12. doi: 10.3390/children9010012.

Abstract

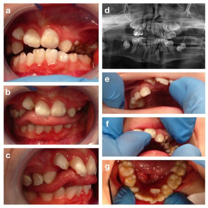
Rare genetic syndromes, conditions with a global average prevalence of 40 cases/100,000 people, are associated with anatomical, physiological, and neurological anomalies that may affect different body districts, including the oral district. So far, no classification of oral abnormalities in rare genetic syndromes is present in the literature. The aim of this narrative review is to analyze literature on rare genetic syndromes affecting dento-oro-maxillofacial structures (teeth, maxillary bones, oral soft tissues, or mixed) and to propose a classification according to the detected oral abnormalities. In addition, five significant cases of rare genetic syndromes are presented. The Scale for the Assessment of Narrative Review Articles (SANRA) was followed for this review. From 674 papers obtained through PubMed search, 351 were selected. Sixty-two rare genetic syndromes involving oral manifestations were found and classified. The proposed classification aims to help the clinician to easily understand which dento-oro-maxillofacial findings might be expected in the presence of each rare genetic syndrome. This immediate framework may both help in the diagnosis of dento-oro-maxillofacial anomalies related to the underlying pathology as well as facilitate the drafting of treatment plans with the involvement of a multidisciplinary team.

摘要

罕见遗传综合征的全球平均患病率为每10万人中有40例,与解剖、生理和神经异常有关,这些异常可能影响不同的身体部位,包括口腔部位。到目前为止,文献中尚无关于罕见遗传综合征口腔异常的分类。本叙述性综述的目的是分析影响牙颌面结构(牙齿、上颌骨、口腔软组织或混合结构)的罕见遗传综合征的文献,并根据检测到的口腔异常提出一种分类方法。此外,还介绍了5例罕见遗传综合征的重要病例。本综述遵循了叙述性综述文章评估量表(SANRA)。通过PubMed搜索获得674篇论文,从中筛选出351篇。发现并分类了62种涉及口腔表现的罕见遗传综合征。所提出的分类旨在帮助临床医生轻松了解在每种罕见遗传综合征存在时可能出现哪些牙颌面表现。这个即时框架既有助于诊断与潜在病理相关的牙颌面异常,也有助于在多学科团队参与下制定治疗计划。

https://cdn.ncbi.nlm.nih.gov/pmc/blobs/b627/8774676/595347038f16/children-09-00012-g001.jpg

文献AI研究员

20分钟写一篇综述,助力文献阅读效率提升50倍。

立即体验

用中文搜PubMed

大模型驱动的PubMed中文搜索引擎

马上搜索

文档翻译

学术文献翻译模型,支持多种主流文档格式。

立即体验