Suppr超能文献

吉西他滨相关的非小细胞肺癌血栓性微血管病:一例报告

Thrombotic Microangiopathy Associated with Gemcitabine in Non-Small Cell Lung Cancer: A Case Report.

作者信息

Kuribayashi Tadahiro, Fujiwara Keiichi, Onishi Kiriko, Mitsumune Sho, Takigawa Yuki, Watanabe Hiromi, Kudo Kenichiro, Sato Akiko, Sato Ken, Kitagawa Masashi, Ota Kosuke, Shinno Yoko, Shibayama Takuo

机构信息

Department of Respiratory Medicine, National Hospital Organization Okayama Medical Center, Okayama, Japan.

Department of Nephrology, National Hospital Organization Okayama Medical Center, Okayama, Japan.

出版信息

Case Rep Oncol. 2021 Nov 29;14(3):1712-1718. doi: 10.1159/000520484. eCollection 2021 Sep-Dec.

Abstract

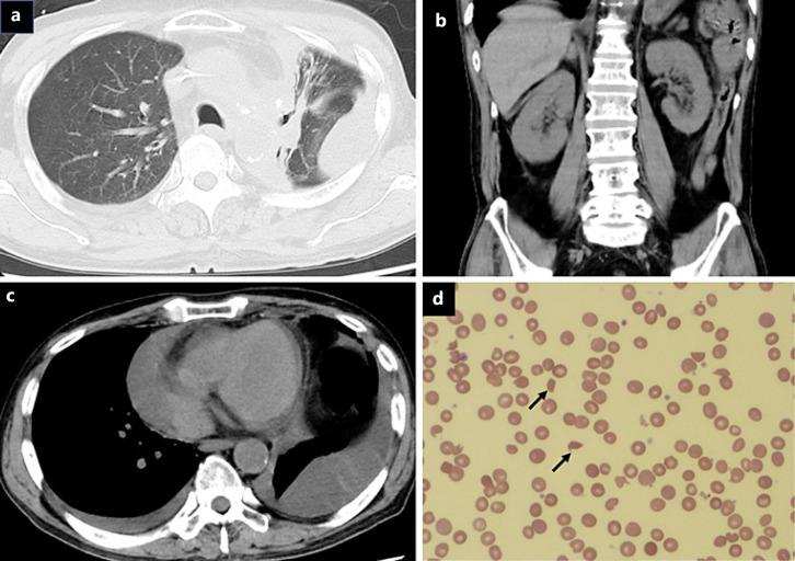
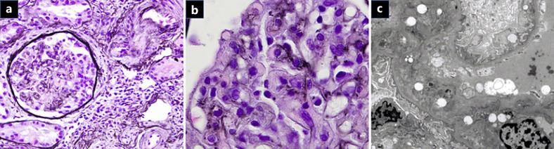
A 69-year-old man with refractory lung adenocarcinoma was treated with gemcitabine and vinorelbine. Dyspnea and hypertension developed after the 17th cycle of chemotherapy. Laboratory findings revealed intravascular hemolysis and renal dysfunction. Thrombotic microangiopathy (TMA) was confirmed by renal biopsy. Antihypertensive and steroid therapies were ineffective. After plasmapheresis, intravascular hemolysis and renal dysfunction gradually improved. However, the disease progressed, and he died 6 months after TMA diagnosis. Autopsy revealed similar pathological findings to those of the renal biopsy. It is important to discontinue gemcitabine at the onset of TMA and consider TMA when using gemcitabine for long periods.

摘要

一名69岁的难治性肺腺癌男性患者接受了吉西他滨和长春瑞滨治疗。在第17周期化疗后出现呼吸困难和高血压。实验室检查发现血管内溶血和肾功能不全。肾活检确诊为血栓性微血管病(TMA)。抗高血压和类固醇治疗无效。血浆置换后,血管内溶血和肾功能不全逐渐改善。然而,疾病进展,他在TMA诊断后6个月死亡。尸检显示与肾活检相似的病理结果。在TMA发作时停用吉西他滨并在长期使用吉西他滨时考虑TMA很重要。

https://cdn.ncbi.nlm.nih.gov/pmc/blobs/5dcc/8740084/5374a9a4b033/cro-0014-1712-g01.jpg

文献AI研究员

20分钟写一篇综述,助力文献阅读效率提升50倍。

立即体验

用中文搜PubMed

大模型驱动的PubMed中文搜索引擎

马上搜索

文档翻译

学术文献翻译模型,支持多种主流文档格式。

立即体验