Cicchinelli Luke D, Štalc Jurij, Richter Martinus, Miller Stuart
Clínica Cándido Guillén, Vigo, Spain.
Clínica Pereira, Vigo, Spain.
Foot Ankle Orthop. 2020 Nov 27;5(4):2473011420966311. doi: 10.1177/2473011420966311. eCollection 2020 Oct.
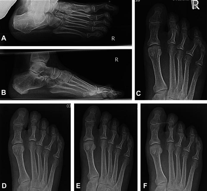
A novel biointegrative implant was developed for proximal interphalangeal joint (PIPJ) arthrodesis to treat hammertoe deformity. Composed of continuous reinforcing mineral fibers bound by bioabsorbable polymer matrix, the implant demonstrated quiescent, gradual degradation with complete elimination at 104 weeks in animal models. This prospective trial assessed the implant's safety, clinical performance, and fusion rate of PIPJ arthrodesis for hammertoe correction.
Twenty-five patients (mean age 63.9±7.5 years) who required PIPJ arthrodesis were enrolled at 3 centers. Outcomes included radiographic joint fusion, adverse events, pain visual analog scale (VAS) score, Foot and Ankle Ability Measure (FAAM) Activities of Daily Living (ADL) score, and patient satisfaction. Patients were evaluated 2, 4, 6, 12, and 26 weeks postoperatively.
Twenty-two patients (88%) achieved radiographic fusion at 26 weeks. All joints (100%) were considered clinically stable, with no complications or serious adverse events. Pain VAS improved from 5.3±2.5 preoperatively to 0.5±1.4 at 26 weeks postoperatively. FAAM-ADL total scores and level of functioning improved by mean 19.5±19.0 points and 24.4±15.7 percentage points, respectively, from preoperation to 26 weeks postoperation. Improvements in pain VAS and FAAM scores surpassed established minimal clinically important differences. All patients were very satisfied (84%) or satisfied (16%) with the surgery. Patient-reported postoperative results greatly exceeded (72%), exceeded (20%), or matched (8%) expectations.
This prospective, multicenter, first-in-human clinical trial of a novel biointegrative fiber-reinforced implant in PIPJ arthrodesis of hammertoe deformity demonstrated a favorable rate of radiographic fusion at 12 and 26 weeks, with no complications and good patient-reported clinical outcomes.
Level IV, prospective case series.
研发了一种新型生物整合植入物用于近端指间关节(PIPJ)融合术,以治疗槌状趾畸形。该植入物由生物可吸收聚合物基质结合的连续增强矿物纤维组成,在动物模型中显示出静态、逐渐降解,并在104周时完全消除。这项前瞻性试验评估了该植入物用于槌状趾矫正的PIPJ融合术的安全性、临床性能和融合率。
3个中心招募了25例需要进行PIPJ融合术的患者(平均年龄63.9±7.5岁)。结果包括影像学关节融合、不良事件、疼痛视觉模拟量表(VAS)评分、足踝功能测量(FAAM)日常生活活动(ADL)评分以及患者满意度。在术后2、4、6、12和26周对患者进行评估。
22例患者(88%)在26周时实现了影像学融合。所有关节(100%)均被认为临床稳定,无并发症或严重不良事件。疼痛VAS评分从术前的5.3±2.5改善至术后26周的0.5±1.4。从术前到术后26周,FAAM-ADL总分和功能水平分别平均提高了19.5±19.0分和24.4±15.7个百分点。疼痛VAS评分和FAAM评分的改善超过了既定的最小临床重要差异。所有患者对手术非常满意(84%)或满意(16%)。患者报告的术后结果大大超过(72%)、超过(20%)或符合(8%)预期。
这项针对新型生物整合纤维增强植入物用于槌状趾畸形PIPJ融合术的前瞻性、多中心、首例人体临床试验表明,在12周和26周时影像学融合率良好,无并发症,患者报告的临床结果良好。
IV级,前瞻性病例系列。