Suppr超能文献

莱姆病性神经伯氏疏螺旋体病相关的急性横贯性脊髓炎罕见病例。

Rare case of acute transverse myelitis associated with Lyme neuroborreliosis.

作者信息

Chohan Mujtaba, Rana Dhara, Hafez Nagwa

机构信息

Rowan University School of Osteopathic Medicine, Stratford, NJ, USA.

Department of Internal Medicine, St. Joseph's University Medical Center, Paterson, NJ, USA.

出版信息

IDCases. 2022 Jan 24;27:e01422. doi: 10.1016/j.idcr.2022.e01422. eCollection 2022.

Abstract

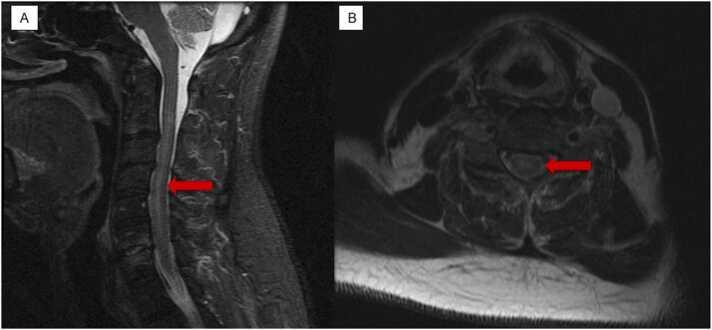
Acute transverse myelitis is a neurological disorder that leads to acute spinal cord injury due to inflammation caused by autoimmune disorders or by parainfectious etiologies. Among the many different infectious causes of transverse myelitis, one of the rare ones is Lyme disease. Here we describe a case of a 62 year old male who presents with bilateral paresthesia and weakness. MRI imaging of the cervical and thoracic spine led to the initial diagnosis of cervical cord edema leading to the symptoms associated transverse myelitis. However further workup of different infectious causes lead to positive Lyme titers with positive confirmatory ELISA testing. Initiation of Lyme disease treatment with IV ceftriaxone led to the gradual resolution of the symptoms.

摘要

急性横贯性脊髓炎是一种神经系统疾病,由于自身免疫性疾病或感染后病因引起的炎症导致急性脊髓损伤。在横贯性脊髓炎的众多不同感染原因中,莱姆病是罕见原因之一。在此,我们描述一例62岁男性患者,其表现为双侧感觉异常和无力。颈椎和胸椎的MRI成像初步诊断为颈髓水肿,导致出现与横贯性脊髓炎相关的症状。然而,对不同感染原因的进一步检查发现莱姆病滴度呈阳性,ELISA检测确诊。静脉注射头孢曲松治疗莱姆病后,症状逐渐缓解。

https://cdn.ncbi.nlm.nih.gov/pmc/blobs/01cf/8801757/db5963f4afc6/gr1.jpg

文献AI研究员

20分钟写一篇综述,助力文献阅读效率提升50倍。

立即体验

用中文搜PubMed

大模型驱动的PubMed中文搜索引擎

马上搜索

文档翻译

学术文献翻译模型,支持多种主流文档格式。

立即体验