State Key Laboratory for Cellular Stress Biology, Innovation Centre for Cell Signalling Network, School of Life Sciences, Xiamen University, Fujian, China.
Laboratory Animal Research Centre, Xiamen University, Fujian, China.
Nature. 2022 Mar;603(7899):159-165. doi: 10.1038/s41586-022-04431-8. Epub 2022 Feb 23.
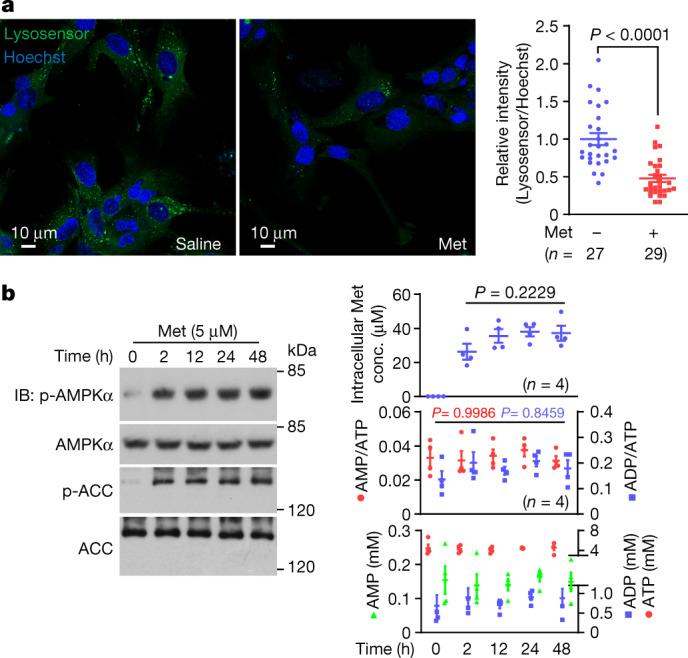
Metformin, the most prescribed antidiabetic medicine, has shown other benefits such as anti-ageing and anticancer effects. For clinical doses of metformin, AMP-activated protein kinase (AMPK) has a major role in its mechanism of action; however, the direct molecular target of metformin remains unknown. Here we show that clinically relevant concentrations of metformin inhibit the lysosomal proton pump v-ATPase, which is a central node for AMPK activation following glucose starvation. We synthesize a photoactive metformin probe and identify PEN2, a subunit of γ-secretase, as a binding partner of metformin with a dissociation constant at micromolar levels. Metformin-bound PEN2 forms a complex with ATP6AP1, a subunit of the v-ATPase, which leads to the inhibition of v-ATPase and the activation of AMPK without effects on cellular AMP levels. Knockout of PEN2 or re-introduction of a PEN2 mutant that does not bind ATP6AP1 blunts AMPK activation. In vivo, liver-specific knockout of Pen2 abolishes metformin-mediated reduction of hepatic fat content, whereas intestine-specific knockout of Pen2 impairs its glucose-lowering effects. Furthermore, knockdown of pen-2 in Caenorhabditis elegans abrogates metformin-induced extension of lifespan. Together, these findings reveal that metformin binds PEN2 and initiates a signalling route that intersects, through ATP6AP1, the lysosomal glucose-sensing pathway for AMPK activation. This ensures that metformin exerts its therapeutic benefits in patients without substantial adverse effects.
二甲双胍是最常被开的降糖药,它具有抗衰老和抗癌等多种益处。二甲双胍的作用机制主要与 AMP 激活的蛋白激酶(AMPK)有关,但其直接的分子靶标仍不清楚。本文表明,临床相关浓度的二甲双胍可抑制溶酶体质子泵 v-ATPase,v-ATPase 是葡萄糖饥饿后 AMPK 激活的中心节点。作者合成了一种光活性二甲双胍探针,并鉴定 PEN2 是 γ-分泌酶的一个亚基,是二甲双胍与 AMPK 激活的结合伴侣,其解离常数为微摩尔级。与二甲双胍结合的 PEN2 与 v-ATPase 的一个亚基 ATP6AP1 形成复合物,导致 v-ATPase 抑制和 AMPK 激活,而不影响细胞内 AMP 水平。PEN2 敲除或引入不与 ATP6AP1 结合的 PEN2 突变体,可削弱 AMPK 的激活。在体内,肝脏特异性敲除 Pen2 可消除二甲双胍介导的肝脂肪含量减少,而肠道特异性敲除 Pen2 可损害其降血糖作用。此外,在秀丽隐杆线虫中敲低 pen-2 可消除二甲双胍诱导的寿命延长。总之,这些发现揭示了二甲双胍与 PEN2 结合,并通过 ATP6AP1 启动一条信号通路,与溶酶体葡萄糖感应途径相交,从而激活 AMPK。这确保了二甲双胍在患者中发挥治疗作用,而不会产生实质性的不良反应。