Suppr超能文献

脊髓刺激治疗系统性硬化症相关疼痛和脚趾溃疡:病例报告。

Spinal cord stimulation for the treatment of pain and toe ulceration associated with systemic sclerosis: a case report.

机构信息

Department of Plastic and Reconstructive Surgery, Komaki City Hospital.

Department of Neurosurgery, Komaki City Hospital.

出版信息

Fukushima J Med Sci. 2022 Apr 8;68(1):37-41. doi: 10.5387/fms.2021-33. Epub 2022 Feb 25.

Abstract

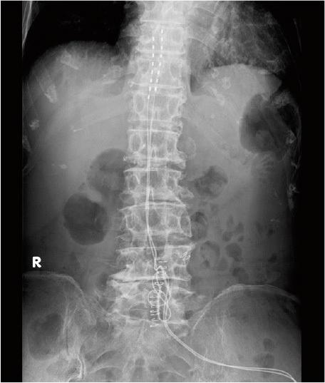
Systemic sclerosis is a complex disease characterized by extensive fibrosis, microvascular alterations, and additional sequelae. Microvascular alterations can cause painful ulcers and necrosis; however, conservative or surgical treatment is often challenging in terms of healing. The study aimed to describe a toe ulcer with systemic sclerosis and its' successful treatment with spinal cord stimulation. An 83-year-old woman, who was diagnosed with systemic sclerosis over the past decade, was distressed by a non-healing toe ulcer for an extended period of time. The patient underwent spinal cord stimulation treatment with the expectation of pain relief and an improvement in microcirculatory insufficiency. Her pain scales and microcirculation improved, and the toe ulcer healed. Furthermore, the frequency of Raynaud's symptoms was reduced, and the patient's pain decreased. There was no recurrence of the ulcer and she no longer needed a cane for walking.

摘要

系统性硬化症是一种复杂的疾病,其特征为广泛的纤维化、微血管改变以及其他后遗症。微血管改变可导致疼痛性溃疡和坏死;然而,在愈合方面,保守或手术治疗通常具有挑战性。本研究旨在描述一例系统性硬化症伴足溃疡及其采用脊髓刺激治疗的成功案例。一名 83 岁女性,过去十年被诊断为系统性硬化症,其足部溃疡长期不愈,导致患者痛苦不堪。该患者接受了脊髓刺激治疗,以期缓解疼痛和改善微循环不足。她的疼痛评分和微循环得到改善,足部溃疡愈合。此外,雷氏现象的发生频率降低,患者的疼痛减轻。溃疡未再复发,她行走时也不再需要拐杖。

https://cdn.ncbi.nlm.nih.gov/pmc/blobs/d70e/9071355/5eea6d6969c5/2185-4610-68-037-g001.jpg

文献AI研究员

20分钟写一篇综述,助力文献阅读效率提升50倍。

立即体验

用中文搜PubMed

大模型驱动的PubMed中文搜索引擎

马上搜索

文档翻译

学术文献翻译模型,支持多种主流文档格式。

立即体验