Suppr超能文献

后颅窝神经轴钙化性假瘤:一例报告及文献复习

Calcifying Pseudoneoplasm of the Neuraxis in the Posterior Fossa: A Case Report and Literature Review.

作者信息

Dallimore Colin A, Quelle Mica, Désir Likowsky L, Sham Sunder, Harshan Manju, Wahl Samuel J, Zlochower Avraham, Goodman Robert R, Langer David J, D'Amico Randy S

机构信息

Medicine, University of Kansas Medical Center, University of Kansas School of Medicine, Kansas City, USA.

Biology, Dwight School, New York, USA.

出版信息

Cureus. 2022 Jan 24;14(1):e21562. doi: 10.7759/cureus.21562. eCollection 2022 Jan.

Abstract

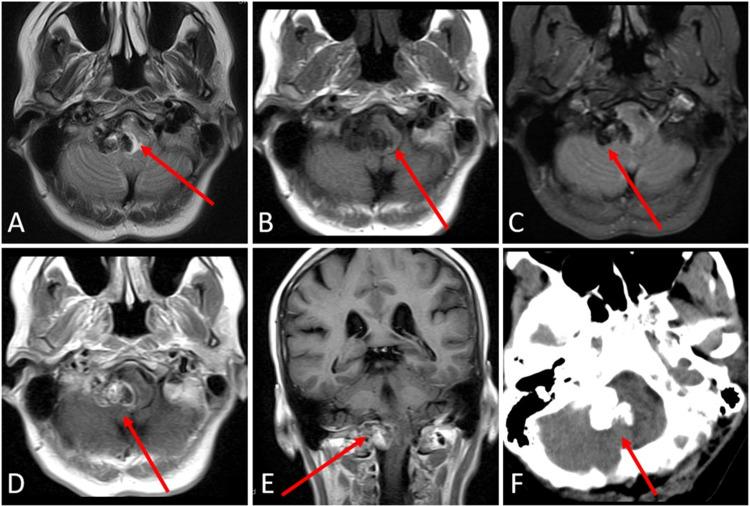
Calcifying pseudoneoplasm of the neuraxis are rare fibro-osseous lesions that can occur throughout the central nervous system. This paper reports one case of this lesion within the posterior fossa and contains a literature review of all cases documented within the posterior fossa to date. A 53-year-old female patient with a history of epiphora, facial irritation, and headaches was found to have a mass centered in the posterior fossa. The patient underwent surgical resection for removal of the mass. Upon review by pathology, the final diagnosis was consistent with calcifying pseudoneoplasm of the neuraxis.

摘要

神经轴索的钙化性假肿瘤是罕见的纤维骨性病变,可发生于整个中枢神经系统。本文报告了1例后颅窝内的该病变病例,并对迄今为止后颅窝内记录的所有病例进行了文献综述。一名有溢泪、面部刺激感和头痛病史的53岁女性患者被发现后颅窝有一肿块。该患者接受了手术切除肿块。经病理检查,最终诊断为神经轴索钙化性假肿瘤。

https://cdn.ncbi.nlm.nih.gov/pmc/blobs/27b4/8873312/c5176d568ab0/cureus-0014-00000021562-i01.jpg

文献AI研究员

20分钟写一篇综述,助力文献阅读效率提升50倍。

立即体验

用中文搜PubMed

大模型驱动的PubMed中文搜索引擎

马上搜索

文档翻译

学术文献翻译模型,支持多种主流文档格式。

立即体验