Suppr超能文献

在解剖型全肩关节置换术中,与短肱骨头相比,超短肱骨头可减少盂肱关节填充过度。

Extra-short humeral heads reduce glenohumeral joint overstuffing compared with short heads in anatomic total shoulder arthroplasty.

作者信息

Monir Joseph G, Hao Kevin A, Abeyewardene Dilhan, O'Keefe Kevin J, King Joseph J, Wright Thomas W, Schoch Bradley S

机构信息

Department Orthopaedic Surgery and Sports Medicine, University of Florida, Gainesville, FL, USA.

University of Florida College of Medicine, Gainesville, FL, USA.

出版信息

JSES Int. 2021 Dec 22;6(2):209-215. doi: 10.1016/j.jseint.2021.11.013. eCollection 2022 Mar.

Abstract

BACKGROUND

Rotator cuff tears and glenoid loosening remain the two most common causes for revision after anatomic total shoulder arthroplasty. Oversizing of the humeral head leads to increased contact force across the glenohumeral joint and is hypothesized to contribute to clinical and radiographic failure. The purpose of this study is to compare the rate of radiographic overstuffing between standard short humeral heads and newer extra-short heads with decreased lateral offset.

METHODS

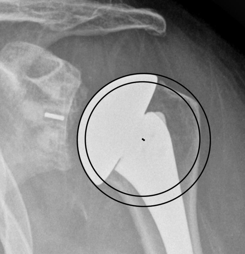
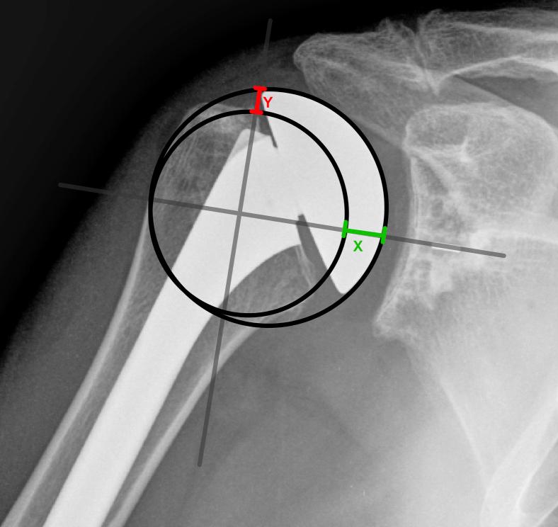
Fifty-five consecutive anatomic total shoulder arthroplasties performed using extra-short humeral heads were retrospectively reviewed and compared with age- and sex-matched controls receiving standard short heads. A total of 110 postoperative radiographs were analyzed using the Iannotti's perfect circle method to compare the prosthesis' center of rotation (COR) with the native humeral head COR. A difference in the COR of >3.0 mm was considered malpositioned. Malpositioning medially was considered overstuffed, and malpositioning laterally was considered understuffed. The direction of displacement of malpositioned prostheses was categorized using a quadrant system. Furthermore, we used a novel method to evaluate medial and superior overstuffing by measuring the displacement between the anatomic and prosthetic head positions along perpendicular axes.

RESULTS

Using the Iannotti's perfect circle method, 56% of heads were malpositioned. Overstuffing occurred more frequently with short heads compared with extra-short heads (47% vs. 4%,  < .001). Conversely, understuffing occurred more frequently with extra-short heads (47% vs. 15%,  = .001). Malpositioned extra-short heads were most frequently placed in the inferomedial quadrant (93% vs. 24%,  < .001), whereas malpositioned short heads were most commonly placed in the superomedial quadrant (56% vs. 7%,  < .001). Our novel measurement method demonstrated that extra-short heads reduced medial overstuffing (2.8 ± 2.8 mm vs. 0.3 ± 2.0 mm,  < .001). Both extra-short and short heads had similar rates of superior malpositioning (1.6 ± 2.2 mm vs. 1.4 ± 1.5 mm,  = .683).

CONCLUSION

Routine use of extra-short humeral head sizes reduces the rate of medial glenohumeral joint overstuffing but not superior malpositioning. This is hypothesized to improve clinical outcomes, but future studies are needed to assess the relationship between improved humeral head fit and clinical outcomes.

摘要

背景

肩袖撕裂和关节盂松动仍然是解剖型全肩关节置换术后翻修的两个最常见原因。肱骨头尺寸过大导致整个盂肱关节的接触力增加,据推测这会导致临床和影像学上的失败。本研究的目的是比较标准短肱骨头与新型外侧偏移减小的超短肱骨头之间影像学上过度填充的发生率。

方法

回顾性分析连续55例使用超短肱骨头进行的解剖型全肩关节置换术,并与接受标准短肱骨头的年龄和性别匹配的对照组进行比较。使用伊诺蒂(Iannotti)的完美圆方法分析总共110张术后X线片,以比较假体的旋转中心(COR)与天然肱骨头的COR。COR差异>3.0mm被认为是位置不当。向内侧的位置不当被认为是过度填充,向外侧的位置不当被认为是填充不足。使用象限系统对位置不当的假体的移位方向进行分类。此外,我们使用一种新方法,通过测量解剖头和假体头位置沿垂直轴的位移来评估内侧和上方的过度填充。

结果

使用伊诺蒂的完美圆方法,56%的肱骨头位置不当。与超短肱骨头相比,短肱骨头过度填充的情况更频繁(47%对4%,P<0.001)。相反,超短肱骨头填充不足的情况更频繁(47%对15%,P=0.001)。位置不当的超短肱骨头最常位于下内侧象限(93%对24%,P<0.001),而位置不当的短肱骨头最常位于上内侧象限(56%对7%,P<0.001)。我们的新测量方法表明,超短肱骨头减少了内侧过度填充(2.8±2.8mm对0.3±2.0mm,P<0.001)。超短肱骨头和短肱骨头在上方位置不当的发生率相似(1.6±2.2mm对1.4±1.5mm,P=0.683)。

结论

常规使用超短肱骨头尺寸可降低盂肱关节内侧过度填充的发生率,但不能降低上方位置不当的发生率。据推测这会改善临床结果,但需要未来的研究来评估改善肱骨头适配性与临床结果之间的关系。

https://cdn.ncbi.nlm.nih.gov/pmc/blobs/79ad/8888178/5056fc591071/gr1.jpg

文献AI研究员

20分钟写一篇综述,助力文献阅读效率提升50倍。

立即体验

用中文搜PubMed

大模型驱动的PubMed中文搜索引擎

马上搜索

文档翻译

学术文献翻译模型,支持多种主流文档格式。

立即体验