Ueathaweephol Somtaporn, Wongwattana Panuwat, Chanlalit Waruttaporn, Trongwongsa Therdkiat, Sutthinont Sirilak
Department of Ophthalmology, Faculty of Medicine, Srinakharinwirot University, Nakhon Nayok, Thailand.
Department of Otolaryngology, Faculty of Medicine, Srinakharinwirot University, Nakhon Nayok, Thailand.
Arch Craniofac Surg. 2022 Feb;23(1):43-47. doi: 10.7181/acfs.2022.00612. Epub 2022 Feb 20.
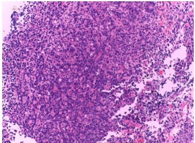
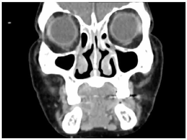
Primary lymphoma originating from the lacrimal drainage system is a rare disease. Such lymphomas are mostly B-cell in origin and present nonspecific symptoms. The treatment of malignant lymphoma of the lacrimal drainage system is slightly different. We present the case of a 71-year-old woman with a painless mass below the medial canthus. Computed tomography (CT) scan of the orbit revealed a mass invading the right lacrimal sac. An incision biopsy was obtained, and the pathologic findings suggested a diagnosis of primary diffuse large B-cell lymphoma of the lacrimal sac. The patient was treated with chemotherapy and intrathecal methotrexate. After completing eight cycles of chemotherapy, the patient was followed up by a CT scan, which revealed nearly total resolution of an ill-defined enhancing mass. At the time of this case report writing, the patient is in complete remission at six months with no other complications.
原发于泪道系统的淋巴瘤是一种罕见疾病。此类淋巴瘤大多起源于B细胞,表现为非特异性症状。泪道系统恶性淋巴瘤的治疗略有不同。我们报告一例71岁女性患者,在内眦下方有无痛性肿块。眼眶计算机断层扫描(CT)显示有一肿块侵犯右侧泪囊。进行了切开活检,病理结果提示诊断为泪囊原发性弥漫性大B细胞淋巴瘤。该患者接受了化疗及鞘内注射甲氨蝶呤治疗。完成八个周期化疗后,对患者进行CT随访,结果显示边界不清的强化肿块几乎完全消退。在撰写本病例报告时,患者已完全缓解六个月,无其他并发症。