Department of Hepatobiliary Surgery, The Second Affiliated Hospital of Chongqing Medical University, Chongqing, China.
Oxid Med Cell Longev. 2022 Jan 30;2022:8123157. doi: 10.1155/2022/8123157. eCollection 2022.
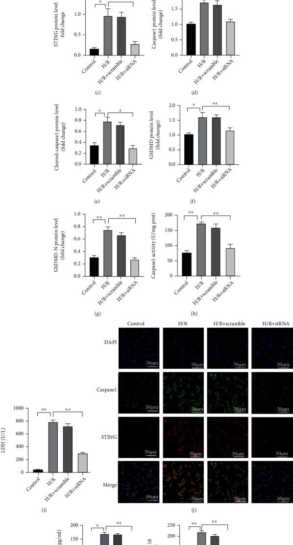
Although a recent study reported that stimulator of interferon genes (STING) in macrophages has an important regulatory effect on liver ischemia-reperfusion injury (IRI), the underlying mechanism of STING-dependent innate immune activation in liver macrophages (Kupffer cells, KCs) remains unclear. Here, we investigated the effect of STING on liver macrophage pyroptosis and the associated regulatory mechanism of liver IRI.
Clodronate liposomes were used to block liver macrophages. AAV-STING-RNAi-F4/80-EGFP, an adenoassociated virus (AAV), was transfected into the portal vein of mice in vivo, and the liver IRI model was established 14 days later. In vitro, liver macrophages were treated with STING-specific siRNA, and a hypoxia-reoxygenation (H/R) model was established. The level of STING was detected via Western blotting (WB), RT-PCR, and immunostaining. Liver tissue and blood samples were collected. Pathological changes in liver tissue were detected by hematoxylin and eosin (H&E) staining. Macrophage pyroptosis was detected by WB, confocal laser scanning microscopy (CLSM), transmission electron microscopy (TEM), and enzyme-linked immunosorbent assay (ELISA). The calcium concentration was measured by immunofluorescence and analyzed with a fluorescence microplate reader.
The expression of STING increased with liver IRI but decreased significantly after the clodronate liposome blockade of liver macrophages. After knockdown of STING, the activation of caspase 1-GSDMD in macrophages and liver IRI was alleviated. More interestingly, hypoxia/reoxygenation (H/R) increased the calcium concentration in liver macrophages, but the calcium concentration was decreased after STING knockdown. Furthermore, after the inhibition of calcium in H/R-induced liver macrophages by BAPTA-AM, pyroptosis was significantly reduced, but the expression of STING was not significantlydecreased.
Knockdown of STING reduces calcium-dependent macrophage caspase 1-GSDMD-mediated liver IRI, representing a potential therapeutic approach in the clinic.
虽然最近的一项研究表明干扰素基因刺激物(STING)在巨噬细胞中对肝缺血再灌注损伤(IRI)具有重要的调节作用,但 STING 依赖性固有免疫激活在肝巨噬细胞(Kupffer 细胞,KCs)中的潜在机制仍不清楚。在这里,我们研究了 STING 对肝巨噬细胞细胞焦亡的影响及其相关的肝 IRI 调节机制。
使用氯膦酸盐脂质体阻断肝巨噬细胞。将腺相关病毒(AAV)-STING-RNAi-F4/80-EGFP 转染到小鼠门静脉中体内,并在 14 天后建立肝 IRI 模型。在体外,用 STING 特异性 siRNA 处理肝巨噬细胞,并建立缺氧再复氧(H/R)模型。通过 Western blot(WB)、RT-PCR 和免疫染色检测 STING 水平。收集肝组织和血液样本。通过苏木精和伊红(H&E)染色检测肝组织的病理变化。通过 WB、共聚焦激光扫描显微镜(CLSM)、透射电子显微镜(TEM)和酶联免疫吸附试验(ELISA)检测巨噬细胞细胞焦亡。通过免疫荧光法测量钙浓度,并使用荧光微孔板读数仪进行分析。
STING 的表达随着肝 IRI 而增加,但在氯膦酸盐脂质体阻断肝巨噬细胞后显著降低。STING 敲低后,巨噬细胞中 caspase 1-GSDMD 的激活和肝 IRI 得到缓解。更有趣的是,缺氧/复氧(H/R)增加了肝巨噬细胞中的钙浓度,但 STING 敲低后钙浓度降低。此外,在 H/R 诱导的肝巨噬细胞中用 BAPTA-AM 抑制钙后,细胞焦亡明显减少,但 STING 的表达没有明显降低。
STING 敲低可减少钙依赖性巨噬细胞 caspase 1-GSDMD 介导的肝 IRI,这代表了一种潜在的临床治疗方法。